
▲王姓伯伯頭暈、喘爆,就醫時心跳每分鐘只跳45下。(示意圖/取自免費圖庫Pixabay)
記者許宥孺/高雄報導
高雄一名80歲王姓伯伯平時有高血壓並伴隨心律不整,日常生活中沒有明顯不適,但日前突發頭暈、氣喘、全身無力等症狀,就醫時發現血壓雖正常,但心跳每分鐘只跳45下,經醫師判定為「第三度房室傳導阻滯」,隨即安排住院接受「心律調節器植入」手術,術後心跳恢復至每分鐘60至100下,3天後順利出院。

▲高雄市立民生醫院心臟內科李冠華醫師。(圖/記者許宥孺翻攝)
高雄市立民生醫院心臟內科李冠華醫師表示,房室傳導阻滯(Atrioventricular block; AV Block),是指心臟傳導訊號在房室之間的輸送受阻,影響心房與心室的同步工作。過度緩慢心跳,嚴重者甚至可能危及生命。房室傳導阻滯依據嚴重程度和症狀表現可分為三個等級。
第一度房室傳導阻滯:心房電訊號傳遞遲緩,但仍能到達心室,通常無症狀,無需特別治療。
第二度房室傳導阻滯:部分訊息無法傳導,導致心跳不規律。其中又有兩種分類:
類型一 (type I) : 房室間電路傳導漸緩, 以至於中斷。 多數患者不需治療, 但仍需定期追蹤檢查
類型二 (type II): 房室間電路傳導固定較緩, 但突然中斷。 多數患者有高度可能惡化為三度房室傳導阻滯, 須立刻就醫治療。
第三度房室傳導阻滯(完全房室傳導阻滯):房室間電路傳導完全中斷,心房和心室各自跳動,患者可能出現暈厥、呼吸困難,甚至心臟衰竭,猝死, 須立即治療。

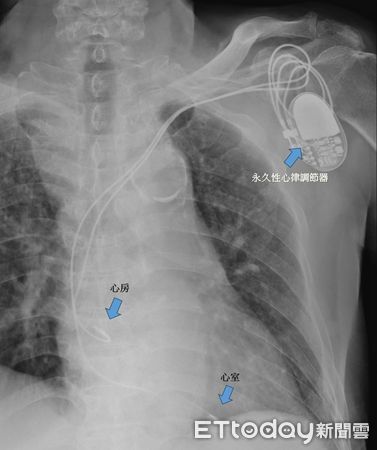
▲王伯伯植入心律調節器。(圖/記者許宥孺翻攝)
李冠華指出,對於二度II型及三度房室傳導阻滯患者,若排除其他因素仍心跳過緩無改善,則須考慮放置永久性心律調節器。該手術局部麻醉即可,將電極導線分別放入右心房及右心室後,心律調節器本體埋入上胸部皮下即可,手術安全性高,多數患者術後症狀顯著改善。
李冠華醫師表示,現今科技進步,有多種心律調節器可供選擇,也可以透過「心導管」方式將心律調節器植入。提醒民眾,若出現心跳過緩伴隨胸口不適、頭暈或無力,應及早就醫。高齡患者、心臟病史者更要警惕,早期治療可有效改善生活品質。

▲心律調節器。(圖/記者許宥孺翻攝)
讀者迴響