
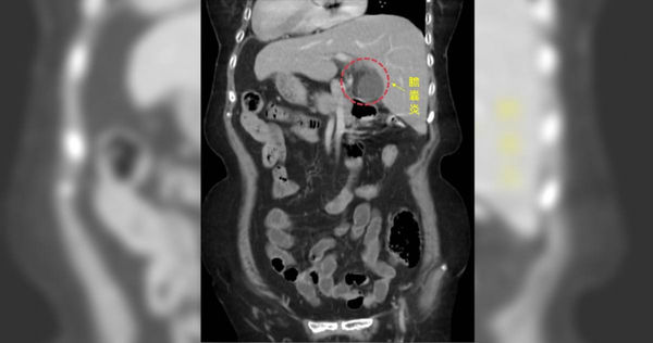
▲正常人的左上腹是胃或大腸,但阿嬤卻是膽囊,醫師透過電腦斷層檢查才發現。(圖/中醫大新竹附設醫院提供)
圖文/CTWANT
一位80歲左右的阿嬤,因左上腹痛來中國醫藥大學新竹附設醫院急診,左上腹痛一般應是胃痛或大腸發炎,做了電腦斷層發現阿嬤是一個「鏡面人」,所謂「鏡面人」就是他的內臟等器官跟一般人的位置顛倒,經過一般外科古君平醫師診斷,阿嬤是急性膽囊炎。「鏡面人」左右顛倒的內臟是外科手術挑戰,古君平醫師首次遇到,一般膽囊手術需約半小時即可完成,這次手術花了一個半小時才完成,透過腹腔鏡微創手術,順利切除膽囊,術後兩天就順利出院。
古君平醫師表示,所謂的「鏡面人」包括腹腔、胸腔內器官的位置與一般人剛好相反,例如一般人心臟脾臟在左邊,肝臟位於右邊,鏡面人心臟脾臟在右邊,肝臟在左邊,就好像正常人的鏡中影像,故出現「鏡面人」的稱呼。這是一個罕見的遺傳病,發生率大約是萬分之一左右,不過內臟功能跟一般沒什麼差別,所以只要沒有生病沒做檢查,一般人不會知道自己的內臟跟別人的位置不一樣,這次阿嬤因為急性腹痛做電腦斷層,才發現他的內臟跟一般人相反。

▲古君平醫師表示,所謂的「鏡面人」包括腹腔、胸腔內器官的位置與一般人剛好相反。(圖/中醫大新竹附設醫院提供)
因為鏡面人的特殊性,醫師診斷需特別小心,否則可能把病患左上腹痛當成是胃痛治療,實際上膽囊炎,發生誤診,尤其在施以手術時,與醫生的熟悉手勢有所不同而增加難度。膽囊切除是一個很常見的手術,膽囊功能儲存膽汁,膽汁是肝臟製造,所以膽囊切除之後,肝臟還是會正常分泌製造膽汁,因此,阿嬤切除膽囊,對她的生活並不會有太大影響。大部分的人可能在術後一個月左右會有容易拉肚子的情形,不過,等肝臟適應這種情況後,就可以恢復正常生活。
古君平醫師指出,膽囊結石或膽囊炎是一個膽囊結石的情況,,膽囊結石如果塞住,膽汁分泌不出來就會腹痛,膽結石最常出現在臨床上,有四個好發族群,我們稱之4F,第一個F(Female)女性,第二個F(Fat)肥胖的人,再來就是年紀Forty第三個F四十歲,最後一個F是多產婦(Fertile),因此,四十歲左右肥胖的多產婦女可能比較容易有膽結石。會建議有這樣風險的族群,少油膩少油炸,三餐盡量正常讓膽汁、膽囊順利工作,比較不會有膽汁淤積或膽結石的風險。
延伸閱讀
▸ 他轟鄉民誤導曝「養小孩每個月只要2萬」 網友打臉:窮養不如別生
▸ 炎亞綸預言「土壤乾裂地震說」4天後被證實 網朝聖:先知
▸ 半夜回家誤觸警鈴 父以為遭闖空門「持槍誤殺女兒」
讀者迴響