
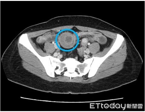
▲王女的小腸套疊得如望遠鏡,卻驚人發現腸套疊的元凶,竟是小腸黏膜下層一顆三公分罕見腫瘤。(圖/平等澄清醫院提供)
記者游瓊華/台中報導
一位45歲的王姓女子一個多月以來飽受腹部疼痛與胃痛困擾,經診斷為小腸套疊,套疊得如望遠鏡,卻驚人發現腸套疊的元凶,竟是小腸黏膜下層一顆三公分罕見腫瘤。平等澄清醫院一般外科王志浩醫師表示,腫瘤因其生長位置與特性,常會引發嚴重的腸套疊,若不及時處理,恐引發腸道缺血壞死或穿孔危及生命。
據悉,王女長期胃痛、肚子痛,多次到診所求診都未改善,直到近日痛到嘔吐與腹瀉症狀,才緊急前往平等澄清醫院求醫。

▲腸胃科醫師黃一修提醒,若民眾出現長達一個月以上、反覆發作且藥物難以緩解的腹痛,千萬不可掉以輕心。(圖/平等澄清醫院提供)
平等澄清醫院腸胃科黃一修醫師表示,經安排腹部電腦斷層檢查,影像顯示小腸出現「標靶徵象」,診斷為「腸套疊」。立即啟動跨科會診,將患者轉由一般外科醫師王志浩接手,進行緊急微創手術治療。
醫師王志浩施行「腹腔鏡部分小腸切除術加吻合術」時發現,在距離王女迴盲瓣約150公分處,有一段小腸竟像收納望遠鏡般,套入了另一段遠端腸道中。而這場腹內災難的元凶,是一顆位於小腸黏膜下層、大小約3x3公分的堅硬腫塊。這顆腫塊充當了套疊的「引導點」,導致腸道蠕動時將自身捲入。
經檢驗,該腫塊為臨床上罕見的「Vanek腫瘤」(發炎性纖維類息肉),Vanek腫瘤雖屬良性,但因其生長特性常引發嚴重腸套疊,若不及時處理,恐導致腸道缺血壞死或穿孔,危及生命。
腸胃科醫師黃一修提醒,若民眾出現長達一個月以上、反覆發作且藥物難以緩解的腹痛,千萬不可掉以輕心,應儘速就醫檢查,以免延誤治療。
讀者迴響