
▲高雄油漆工撞到頭腦出血,引發水腦症。(示意圖/取自免費圖庫Pixabay)
記者許宥孺/高雄報導
高雄一名48歲油漆工上班時不慎撞到頭造成顱內出血,但他就醫後接受保守治療未開刀,某日突發意識不清,被緊急送往急診室,經過電腦斷層掃描,發現他腦室腫大診斷為「水腦症」,院方立即安排手術引流腦脊髓液,術後男子恢復意識,現也重返工作崗位。醫師強調,腦脊髓液若吸收異常,可能壓迫腦組織,長期恐導致不可逆的神經功能缺損,不可不慎。
收治案例的民生醫院神經外科主治醫師陳志豪指出,一名油漆工因工作撞到頭造成頭部外傷、顱內出血,當時僅在外院住院、沒有手術,後續家屬因照顧問題,將患者送至安養機構入住後,某日出現意識不清和嗜睡,因病情有變化趕緊送來急診。經過檢查發現腦室明顯腫大,緊急進行「腦室腹腔分流手術」,將蓄積多餘的腦脊髓液排出。

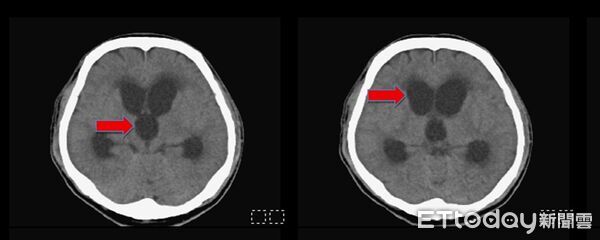
▲手術前腦部斷層掃描,發現所有的腦室脹大(紅色箭頭,黑色部份構造)。(圖/記者許宥孺翻攝)

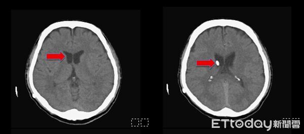
▲術後半年,所有脹大的腦室皆已恢復正常大小,可見到所放置右側腦室的導管(紅色箭頭)。(圖/記者許宥孺翻攝)
陳志豪表示,頭部外傷後腦損傷可能有諸多後遺症,其中「水腦症」較不被民眾了解,成因是腦脊髓液循環阻塞或吸收異常,導致過多的腦脊髓液蓄積在腦部,進而壓迫腦組織,若未及時診斷處理可能造成長期神經功能缺損。
陳志豪指出,臨床表現有記憶力下降、步態不穩、意識變差、甚至大小便不順暢,若把這些症狀當作是常見的顱腦損傷後遺症,未積極就醫或醫師未警覺,腦部被多餘的腦脊髓液長時間壓迫,可能造成不可逆的神經功能缺損。
陳志豪醫師強調,早期辨識與介入治療是改善預後的關鍵,臨床可透過電腦斷層(CT)或磁振造影(MRI)影像學判斷及病程追蹤來評估是否需進行分流手術。從臨床經驗及研究都顯示,適時進行腦脊髓液分流手術可顯著提升病人的神經功能與生活品質。個案經過手術後才恢復清楚意識及記憶,自述「彷彿獲得重生」,術後半年追蹤,原先腫大的腦室已恢復正常大小,也已重返工作崗位。
讀者迴響