
▲苗栗65歲老翁自行灌腸,不慎造成腸破裂、糞水亂流引發腹膜炎,送醫手術後救回一命。(圖/大千綜合醫院提供,下同)
記者楊永盛/苗栗報導
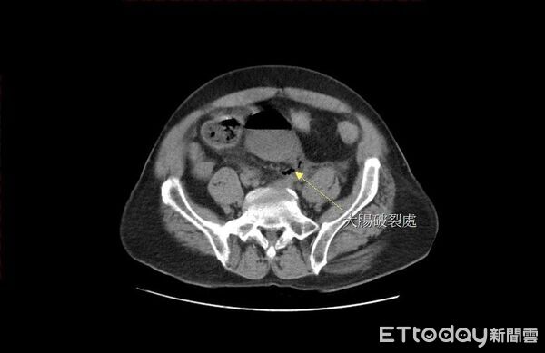
苗栗縣65歲黃姓老翁,長期飽受便秘所苦,每天都服用強力軟便劑,甚至每隔2~3天就自行灌腸,日前甚至改用更長的管子,把瀉藥送入直腸深處灌腸,沒想到竟突然引發劇痛,緊急送至大千綜合醫院急診,經電腦斷層掃描後赫然發現,在直腸上端處有一個巨大的破洞,糞水隨著破洞流進腹腔,引發嚴重的腹膜炎,幸好緊急手術救回一命。
大千綜合醫院外科部主任馮啟彥今(27)日表示,黃姓老翁長期深受便秘所苦,飲食控制也無法改善,每天都服用強力軟便劑,甚至每隔2~3天無法解便時,就會自行灌腸;日前,黃先生又因連續3天無法解便,自行灌腸發現沒有效果,改用更長的管子,結果引發嚴重腹膜炎,家人趕緊送進大千醫院急診室。

馮啟彥緊急進行腹腔鏡手術,術中發現直腸上端靠近乙狀結腸的轉彎處,有一個直徑2公分的破洞,研判應是太用力灌腸造成的腸道破裂,也讓大量的宿便流進腹腔,才會引發嚴重的腹膜炎。所幸,病人在接受手術後順利康復,也嚇得直呼「再也不敢自己隨意灌腸了!」
馮啟彥表示,便秘是現代人常見的問題,改善方式建議先從調整飲食、培養生活習慣及規律運動著手。其中,調整飲食包括:1.增加膳食纖維,多吃蔬菜、水果、全穀類。2.攝取足夠水分,每日飲水約1500到2000毫升。3.補充益生菌,促進腸道健康。培養生活習慣則包含:1.培養定時排便的習慣。2.如廁時不要久坐,可使用椅凳讓雙腿抬高,幫助放鬆骨盆底肌肉。3.有便意時要立即如廁,不可忍耐。

他說,如果上述的方式仍無法改善便秘問題,建議可尋求醫師協助,經醫師評估狀況後安排適合的藥物;若糞便阻塞嚴重時,醫師可能會使用灌腸劑來潤濕和軟化糞便,再以手動移除糞便。
他強調,灌腸是在便秘時一種刺激排便的急救方式,但應該在醫師指示下謹慎使用且不宜長期依賴,因為過度使用可能導致肛門撕裂傷、痔瘡破裂出血、大腸黏膜受損等,若發生腹膜炎,嚴重會引發敗血症、甚至休克死亡。
讀者迴響