
▲64歲男子院前心跳停止倒地醫院門口,嘉義醫院團隊心導管手術,成功挽回一命。(圖/嘉義醫院提供)
記者翁伊森/嘉義報導
衛生福利部嘉義醫院上月21日上午約10時,一名64歲男子在大門口突然倒地昏迷,情況危急。保全人員即時通報急診室,醫療團隊火速趕抵現場,初步判斷為院外心肺功能停止(OHCA),並出現心室纖維顫動(VF)。面對這場與死神拔河的挑戰,嘉義醫院團隊憑藉高度整合的急重症處置能力,成功挽救一條寶貴生命。

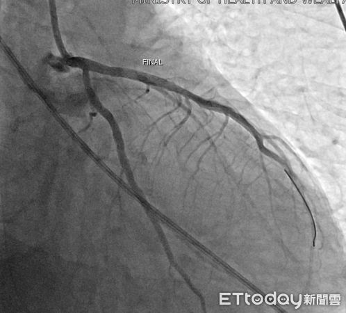
▲心臟裝置支架術後。(圖/嘉義醫院提供)
急診醫護團隊第一時間施行高品質心肺復甦術(CPR)、電擊除顫及氣管插管等緊急處置,成功讓患者恢復自主心跳,並迅速轉入心導管室,由心臟內科羅勖中醫師緊急接手治療。經心導管檢查發現,患者左前降支(LAD)幾乎完全阻塞,為典型導致猝死的致命型心肌梗塞。羅醫師果斷進行冠狀動脈介入治療,於極短時間內開通阻塞血管並植入支架,有效恢復心肌灌流,爭取到救命的黃金時間。

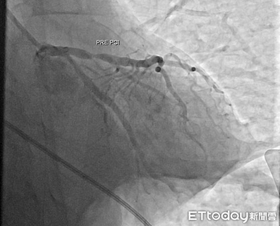
▲病患接受緊急心導管發現左前降支有一危險狹窄。(圖/嘉義醫院提供)
羅勖中醫師表示:「急性心肌梗塞導致的心跳驟停,若無即時處置,死亡率極高。能夠讓患者在短時間內恢復心跳並保持清醒,仰賴的是整體醫療團隊的無縫接力與高度默契。」他強調,從插管、造影到支架植入,每一個步驟都講求時效與精準,團隊緊密合作是成功關鍵。
嘉義醫院院長莊仁賓指出,此次成功搶救是醫院團隊展現急重症處理能力的最佳典範。從保全人員即時應變、急診醫護迅速處置,到心導管團隊專業手術與加護病房後續照護,展現出公立醫院24小時待命、守護民眾生命的責任與使命。

▲病患接受緊急心導管發現左前降支有一危險狹窄。(圖/嘉義醫院提供)
莊仁賓也特別感謝羅勖中醫師在緊急情況下展現出的高度專業判斷與手術技術,並承諾醫院將持續提升醫療品質與急救能力,為嘉義地區居民提供更即時、安全的醫療保障。
患者術後在加護病房觀察4至5天,順利轉入普通病房,於意識清楚、幾乎無明顯後遺症的情況下康復出院。昨日返院回診時,患者多次向羅醫師及團隊致謝,感謝嘉義醫院在危急時刻提供及時且專業的醫療救助,讓他得以從鬼門關前生還,重新擁抱生命。
讀者迴響