
▲貨車司機心肌梗塞還硬上路飆100多公里回台中就醫,醫生搖頭。(圖/院方提供)
記者游瓊華/台中報導
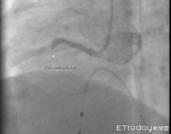
真的命大!一名68歲李姓貨車司機日前送完貨要從新竹返回台南時,已經胸痛不適,司機沒有就醫,反而吞了舌下錠就趕著上路,開上國道不到10分鐘,就強烈胸痛、還呼吸困難及暈眩等症狀,沒想到李男還硬撐開100多公里到台中就醫,經診斷為急性心肌梗塞發作,幸好急救過程相當順利,直呼幸運。但醫師可不這麼認為,直言李男萬一在國道上昏迷,就很有可能引發車禍,後果不堪設想。

▲李男本身就有心血管病史,當時急性心肌梗塞發作,還一路從桃園撐到台中。(圖/院方提供)
光田綜合醫院心臟內科醫師邱一騏認為,李男本身就有心血管病史,當時急性心肌梗塞發作,一路從桃園撐到台中,雖然相當幸運,但卻是非常不恰當的方式。「主要是心肌梗塞的患者,隨時都有昏厥的可能,萬一在國道上昏迷,就很有可能引發車禍,無論是對患者本身,還是其他駕駛,都是非常危險的。」

▲邱一騏提醒,無論是不是心肌梗塞,若是出發前已有疲勞、胸悶等症狀時,就不要長途開車。(圖/院方提供)
邱一騏表示,血管堵塞是長期累積,因此患者在發病前幾周或前幾個月,可能就有不舒服的症狀,例如走路特別喘、胸口悶痛、冒冷汗,甚至上腹疼痛,因症狀常被輕忽而錯失就醫良機。「無論是不是心肌梗塞,若是出發前已有疲勞、胸悶等症狀時,就不要長途開車。」因為長時間開車需要高度的專注力,當民眾身體不適時遇到交通狀況,往往也無法妥善因應,進而導致危險的駕駛行為,邱醫師呼籲民眾,長途駕駛前,一定要多留意自己的身心狀況。
讀者迴響