
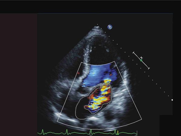
▲醫師王愛軍(左)發現患者心臟有明顯雜音,可能有內膜炎造成的問題,轉診至彰基。(示意圖/彰基提供)
記者唐詠絮/彰化報導
彰化1名68歲陳姓果農因發燒就診,本以為感冒,近日他又高燒40度,伴隨寒顫、低血壓等狀況,並感到食慾喪失及全身無力,有嚴重敗血症的跡象,隨時有休克的風險,經彰基醫院詳細看診,被發現其心臟有異常雜音,進一步檢出罹患致死率近四成的感染性心內膜炎,幸好在進行微創二尖瓣人工瓣膜置換術後,症狀獲得控制。
陳姓果農去年底因發燒誤以為感冒,肝膽腸胃科醫師王愛軍發現病人有糖尿病和高血壓病史,近兩日突發高燒40度、寒顫、低血壓、食慾喪失和全身無力,經過詳細看診,竟發現心跳聲中藏有詭異線索,要求病人趕快前往彰基醫學中心看診。

▲患者心臟有明顯雜音,可能有內膜炎造成的問題。(圖/彰基提供)
陳姓果農抵達急診室的情況非常異常,可能是吃了退燒藥,因此,病人當時來急診雖無發燒,生命徵象穩定,卻顯現出冷汗淋漓、濕冷的詭異狀態,初步檢查顯示嚴重敗血症的跡象,隨時有休克的風險,同時伴隨著心肌酵素升高,表示心臟正處於缺氧狀態。
陳姓果農旋即被宣告病危,送入加護病房。在馬拉松式的照護下,緊急心臟超音波檢查揭示二尖瓣的嚴重閉鎖不全,血液培養不到8小時就長出金黃色葡萄球菌,顯示心臟深受感染,讓醫療團隊震驚不已。彰基心臟外科主任醫師陳映澄緊急會診後,決定進行微創二尖瓣人工瓣膜置換術。

▲王愛軍醫師。(圖/彰基提供)
陳映澄主任表示,在患者心臟瓣膜的深處發現化膿和細菌贅生物。手術成功,如同一場惡夢初醒,病人不僅在一天後順利拔管,更在短短一週內轉入普通病房,經過完整的抗生素治療後,一個月後出院回歸正常生活。
彰基指出,感染性心內膜炎是罕見致命的嚴重疾病,每年每10萬人中僅3到10例,若未治療致死率會高達40%, 90%的病人就像感冒一樣,發燒、肌肉痠痛、食慾降低,但此疾病不緊急治療會進展成為心臟衰竭、心臟瓣膜結構損壞和血管栓塞、脾臟功能缺損等併發症而致死,盡早診斷和有效的治療相當重要。
讀者迴響