
▲年輕男被弓箭穿心。(圖/翻攝自微博)
記者鄭思楠/綜合報導
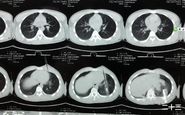
廣西南寧市一位年輕男子男子日前被弓箭射中胸口,慘遭「一箭穿心」。當時,他還在旁人的攙扶下,自己走到了醫院。醫院檢查後驚呆表示,弓箭射穿心口,距離心臟只有1公分,非常危險,「把肺刺破打斷肋骨穿背而出。」幸好,經過該院胸心腺體外科醫生1小時手術,弓箭被順利取出。
廣西民族醫院6月6日接診了一名因為操作不當而被弓箭射中心口的男子,一檢查發現情況相當危急。胸心腺體外科副主任醫師羅強透露,該病人是6月6日下午在家玩弓箭的時候,操作不當致使弓箭從前胸刺到了背後,前往當地的醫院後發現病情太重,緊急送至廣西民族醫院進行救治。

▲目前他恢復良好。(圖/翻攝自微博)
在手術當中,醫生發現,弓箭從左前胸緊貼著心臟,把上下肺都刺破了,距離心臟只有1公分,還把一根肋骨打斷後刺到了後背;當時傷情相當危險,不過因為弓箭沒有傷到心臟和大的血管,經過手術,病人已無大礙,現在恢復情況良好。
死裡逃生的男子小鵬(化名)在病床上談到這次「一箭穿心」的事情後,還心有餘悸地說,之前網購了弓箭,想去打獵,「放置箭的時候,碰到了開關,射中了自己。」他表示,經過這次事故後一定吸取教訓,再也不玩如此危險的「玩具」了。
羅強提醒大家,在遇到異物傷害的時候,一定不要驚慌,等待專業醫生的救援,千萬不能隨意將異物拔出,那樣有可能造成大出血,傷口感染,內臟損傷等複雜情況。
▼弓箭只離心臟1公分。(圖/翻攝自微博)

讀者迴響