
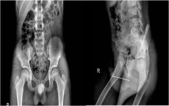
▲伊朗一名10歲男童把長8.7公分的縫針插進生殖器,此個案被發表在《泌尿科病例報告》(Urology Case Reports)期刊。(圖/翻攝自泌尿科病例報告期刊)
記者詹雅婷/綜合報導
伊朗一名10歲男童把一根長8.7公分的縫針插進自己的下體,以較為鈍的一端塞入,卡在尿道約3小時,就醫後院方在多方考量之下採取新的治療方式,醫師慢慢推著鈍的一端,讓尖銳的那頭刺穿皮膚,最終成功把針取出。
[廣告] 請繼續往下閱讀.
每日郵報報導,這名10歲男童不知何種原因把縫針插進尿道後卡住,期間儘管有正常排尿一次,但縫針仍卡在尿道中。依據X光影像,針的所在位置使得院方難以使用傳統手法來解決,也就是把異物推至生殖器尖端取出。
沙希德薩多伊大學泌尿科專家瓦希迪(Serajoddin Vahidi)擔憂,用傳統方法取出縫針可能傷及孩童生殖器,最終決定使用新的手法。團隊先給男童麻醉,接著慢慢推著針的鈍部直到尖銳一端刺穿皮膚,成功把針取出。
現已知男童接受手術6個月後,可以成功排尿,顯示術後並未造成永久性損傷,院方也在排除虐童、精神疾病等可能性之後,讓孩子接受兒童精神科治療後出院。
瓦希迪事後受訪表示,此次採用的新方法是首次實作且相當成功,是除了傳統取出生殖器異物方法之外,可行的替代做法。
[廣告] 請繼續往下閱讀..
►富商全裸射槍片曝光!千萬超跑遭賊下手18次 抄槍「露鳥」對決
►緬甸188cm「天菜和尚」挺示威遭捕6個月!憔悴監獄照曝 粉絲心碎
►《魷魚遊戲》竟暗藏身世秘密!他曝「老人竟是男主親爸」 10大關鍵曝光
★《宇宙人外信》:中英日韓四聲道,時事閒聊學單字★
Spotify|KKBOX|SoundOn|Apple Podcast|