
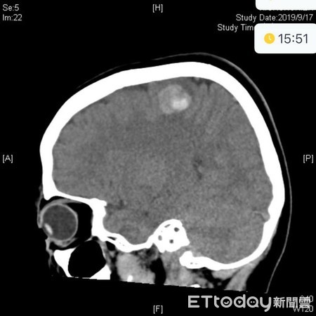
▲交完作業就倒地,少年送醫確診腦中風。(圖/吳昌騰醫師提供)
記者嚴云岑/台北報導
一名10多歲的少年,早上進教室教完作業給老師後,突然在老師面前倒地,且出現左側無力症狀,被校方緊急送醫,經電腦斷層檢查發現有顱內出血,確診腦中風。醫師提醒,許多人都以為中風是中老年人疾病,殊不知腦血管疾病也是兒童十大死因之一,家長若發現孩童有異常,千萬不能掉以輕心。
收治換的林口長庚兒童急診科主治醫師吳昌騰在「來講兒科急診的543」粉絲專頁上寫道,兒童腦中風通常是先天性血管異常,最常見的出血性兒童中風,主要是胎兒行形成時,腦部微血管發育異常,使得動脈血流不經過微血管而直接流入靜脈,形成蚯蚓般怒張的畸形血管,當靜脈承受不了那麼高的壓力時便會破裂。
「多數人以為中風是中老年人疾病,其實新生兒、小學生、青少年也會腦中風。」吳昌騰提到,根據以前醫學文獻統計,平均每年每十萬小朋友中就有 2.5 人會突然腦中風,但隨著醫學影像診斷的敏感度和普及度的提升,兒童腦中風的診斷率也相對提高 。
而醫療的進步使一些先天性疾病患者,同時也是兒童腦中風危險族群,得以延長平均壽命,因此兒童腦中風的發生率近年來有逐漸增加的趨勢,近來國外文獻統計,發生率增加至平均每年每十萬小朋友中就有8人會腦中風。而這些患者發病的高峰期由12、3歲至30多歲,儼如藏在身體內的定時炸彈。
吳昌騰受訪時提到,兒童腦中風徵兆與大人類似,早期會有頭痛、抽筋、嘔吐、單側偏癱等,經過救治後也會留下肢體無力、語言障礙、走路跛行等後遺症,嚴重程度會因中風原因與範圍略有不同。不過,兒科病人腦神經血管組織可塑性強,加上通常沒有三高等共病,恢復情況會比大人好一些。
至於該名少年在送醫後已恢復意識,但仍在加護病房嚴密監控腦壓,待醫療團隊找出真正罹病原因後,才會進行手術。








讀者迴響