
▲先天性髖臼發育不全,從小走路容易單測脫臼跛行。 (圖/亞大醫院提供)
記者謝承恩/綜合報導
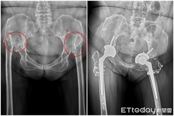
台中59歲周阿姨年輕時走路經常感到雙腿無力、搖搖晃晃,造成腰部、鼠蹊、膝蓋不適,雖因不影響生活,但總被笑說「像素還真走路」。直到去年雙腿開始疼痛,導致無法久走,更影響工作表現,赴醫檢查確診為兩側先天性髖臼發育不全,併嚴重髖關節炎,經兩側人工全髖關節置換手術治療後,症狀終大幅緩解。
亞洲大學附屬醫院骨科部主任唐國民表示,患者雖曾嘗試藥物、按摩、拉筋、整脊、推拿等治療,但效果有限,令她十分苦惱,就診後,先後安排接受人工全髖關節置換手術治療,術後走路不再疼痛,也比之前更有力,目前更積極透過復健加強下肢肌力訓練,預計數周內即能回到工作崗位(視個人情況而定)。
唐國民介紹,先天性髖臼發育不全是因患者於嬰幼兒時期髖臼發育不正常,導致髖關節解剖位置結構性異常,通常嬰兒出生三個月內,可透過全身檢查、超音波檢查等方式發現問題,而開始走路的孩子,可觀察其是否跛行(單側脫臼),或走路如鴨子一般搖晃(雙側脫臼)而提早發現症狀。

▲亞大醫院骨科部主任唐國民指出患部位置。 (圖/亞大醫院提供)
唐國民指出,若患有先天性髖臼發育不全的民眾,未能在早期接受治療,成年後容易造成嚴重的髖關節炎,需接受人工全髖關節置換手術,就得切除損壞的關節和股骨頭,再安裝人工髖關節,雖然隨著醫療科技的進步,患者術後恢復快,但此種手術困難度較高,仍需有經驗的醫師執行,以達較佳的預後。
醫師提醒,人工髖關節再置換的困難度,遠比第一次手術高,為降低關節再置換的機率,建議患者術後應控制體重,以減緩關節勞損,並適度的運動,可訓練肌力、提升骨密度,減輕關節磨損的機會。








讀者迴響