
▲陳先生從樹上摔落,意外發現自己罹患「矽肺症」。(圖/非當事人/亞大醫院提供)
記者謝承恩/綜合報導
台中65歲陳先生在建築工地上班,日前因從樹上摔下來,緊急被送到急診,經X光檢查意外發現,他的肺部有可疑小白點及肺積水問題,因而導致呼吸不順,一度懷疑是腫瘤作祟,直到切片報告證實為「矽肺症」。
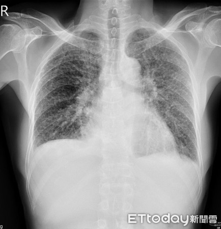
亞洲大學附屬醫院胸腔內科主治醫師林育生表示,陳先生在急診時接受胸部X光檢查,發現雙側肺部有諸多細小白點,同時也有肺部積水情形,懷疑可能為惡性腫瘤肺部轉移,或是粟粒性肺結核所致,詢問其職業暴露史和抽菸史,發現患者在建築工地上班,且菸齡超過20年,轉介至胸腔外科進行肺部手術切片,證實為「矽肺症」惹的禍。
林育生指出,矽肺症屬於塵肺症的一種,主因為吸入結晶型游離二氧化矽粉塵所致,常見的塵肺症還包括「石綿肺症」、「煤礦工人塵肺病」等,台灣早期得到塵肺症的患者,以煤礦礦工居多,如90年代中期台灣新浪潮電影「多桑」中,描述的主角就是塵肺症患者。

▲X光影像中,雙側肺部出現許多小白點。(圖/亞大醫院提供)
醫師表示,當煤礦停產後,有些行業仍有職業暴露的危險,如鑄造業(翻砂)、打石工、拋光研磨產業、裝潢業,或從事隧道工程等,一旦當二氧化矽粉塵沉積於肺泡中,會造成肺部慢性發炎及纖維化,產生無法治癒之病變,造成肺部氣體交換功能受阻,肺部彈性變差,通常病患會以呼吸喘、咳嗽來表現,甚至會伴隨劇烈胸痛。
林育生建議,一般塵肺症患者的肺部X光片會看到雙側肺葉多發性的白點,一開始常被當成粟粒性肺結核,或轉移性肺腫瘤,且患者到晚期會因漸進性大範圍的肺纖維化,甚至被誤認為肺腫瘤,臨床診斷大部分需依靠明確的暴露史與影像檢查,以排除其他可能,有時甚至需要外科手術病理切片方能確診。

▲裝潢業等高風險職業,容易造成肺部慢性發炎。(圖/翻攝自pixabay)
醫師提醒,塵肺症目前並無有效的治療方式,主要以症狀治療為主,例如給予止咳、止痛等藥物,建議民眾應減少暴露於有害的粉塵環境,因若長期接觸後,即使之後停止暴露,過去吸入的粉塵仍會繼續對肺部造成慢性破壞;而對於從事高風險行業的勞工,應維持工作場所通風良好,配戴適當的防護器具,且不抽菸,才能降低罹患塵肺症的風險。







讀者迴響