
▲韓國瑜造勢大會上,眼尖民眾發現秦楊就站在韓後面。(圖/翻攝自《雲端最前線》)
記者謝承恩/綜合報導
韓國瑜日前在台北凱道造勢,眼尖的民眾看見曾演過《台灣霹靂火》的秦楊現身站台,除了演藝圈,轉戰政壇參選高雄市議員的他,外界對於秦楊的健康狀況十分關心。醫師指出,秦楊為「肺癌篩檢」站台也不為過,目前已他戒菸16年的他,右肺經電腦斷層後有0.2公分的小結節,幸好及早發現、治療,降低癌變的機會。
員林市員榮醫院院長張克士表示,秦楊自己戒菸16年,但在工作上仍時常接觸二手菸,一直不斷咳嗽,就醫檢查後發現右肺有0.2公分的結節,上周也回診追蹤肺癌。張克士指出,當時秦楊右肺的結節非常小,若是到0.8公分以上就要進一步治療,甚至更有國外案例短時間就長到1.5~2公分以上,面臨癌症末期,不可輕忽!

▲藝人秦楊與員榮醫療體系副總院長吳怡昌。(圖/記者謝承恩翻攝)
張克士表示,肺癌是台灣人的新國病,死亡率也最高,許多民眾初期沒什麼異狀,發現時都太晚了。加上傳統的胸腔X光片篩檢,難以發現1公分以下的結節,發現時多為晚期,影響治療效果,建議以低劑量電腦斷層,可以找到0.2~0.3公分的結節,加上院方引進AI辨識系統,去除血管顯影干擾,幫助醫師正確判讀、不眼花,大大提升準確度。

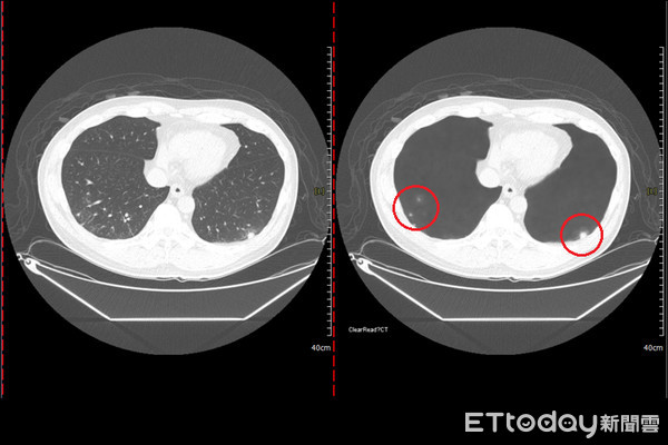
▲左圖為正常顯影,右圖為AI輔助判讀,去除血管的干擾。(圖/記者謝承恩翻攝)
醫師提醒,抽菸並非是導致肺癌的唯一因子,其中包含二手菸、烹飪油煙、空氣細懸浮微粒、遺傳基因等原因,除了有肺癌家族史的人外,年紀55~74歲、抽菸史超過15~30年、甚至還在戒菸者未超15年,以及長期暴露在髒空氣的環境下工作的族群都要小心。
張克士表示,AI先進系統在醫療診斷上更有效地輔助醫師進行診療,只要發現定期檢查發現的早,結節尚小,持續追蹤即可,就能免於結節變大而不自知的危險。更重要的是,期盼藉此提醒民眾注意自身健康,對於有危險因子,如有家族史、抽菸、致癌物暴露(包括PM2.5)等,能夠早期接受篩檢,以便早期治療提高治癒率。








讀者迴響