
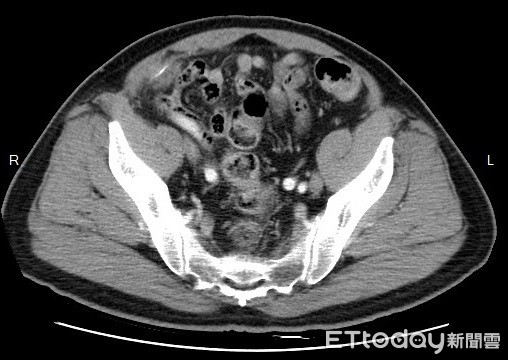
▲男子電腦斷層掃描中有長條狀鐵絲。(圖/謝依蒨醫師提供)
記者謝承恩/綜合報導
高雄一名70歲的男子因右下腹痛合併腹膜炎症狀,被送到急診就醫,透過電腦斷層掃描發現,男子腸道被鐵絲狀的異物刺穿,透過腹腔鏡發現鐵絲被網膜包住,經緊急手術取出,患者於術後5~6天順利出院。
高醫附設醫院大腸直腸外科醫師謝依蒨指出,這名70歲男子近期因為出現肚子痛、發燒等情形,但都一直檢查不出原因,後來透過電腦斷層掃描,發現右下腹影像中出現一團異物,異物內還包著一條長形鐵絲,長達2.5公分,如果不趕緊處理,恐怕會因併發腹膜炎而喪命。

▲手術取出網膜發炎性腫塊,與一條長2.5公分的鐵絲。(圖/謝依蒨醫師提供)
謝依蒨表示,男子因誤食鐵絲,使尖銳物刺穿腸胃引發網膜發炎性腫塊,透過腹腔鏡手術,其手術傷口小、低侵入性的特質,一併將腫塊及鐵絲取出,患者也在術後恢復良好,5~6天內順利出院。

▲醫師提醒,民眾誤食異物要盡快到急診就醫。(圖/高醫附設醫院提供)
醫師提醒,民眾誤食異物(如魚刺),以為只要大口吞飯、喝水就能排出,這其實是錯誤的觀念!第一時間一定要到急診就醫,即時用胃鏡將異物取出,避免異物掉入更深層的器官,造成腸道破損,甚至引發敗血症。







讀者迴響