
▲手術取出的宿便。(圖/來講兒科急診的543-吳昌騰醫師提供)
記者嚴云岑/台北報導
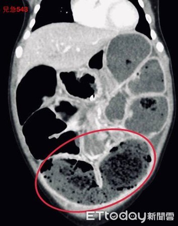
小孩排便量減少要注意!一名女童連續2週解便不乾淨,近日更連續3天出現食慾變差、嘔吐症狀,被診所轉往急診治療。醫師觸診發現腹部有點脹,經超音波與電腦斷層掃描,發現小腸、大腸卡滿大便,且已經造成腸阻塞,由於藥物治療未見改善,只能透過腹腔鏡手術將宿便取出。
收治患者的林口長庚兒童急診科主任吳昌騰今(17)日受訪表示,宿便會壓迫小腸絨毛活性及彈性,進而阻礙腸道影響吸收,即使小孩吃了很多有營養的食物,身體也無法吸收。此外,若腸道長期阻塞,腸子不動了,人體免疫系統也會受影響,嚴重恐導致腸破裂,甚至引發敗血症,家長照顧時不可不慎。
吳昌騰提到,隨著3C世代來臨,近10年來兒科醫師遇到的便秘、宿便案件有逐年增加趨勢,「以前爸媽帶來都是看拉肚子,現在反而是看便秘」,這可能跟小朋友長時間坐著滑手機、看電視,水喝太少,有沒有養成運動習慣有關。

▲電腦斷層發現腸道塞滿大便。(圖/吳昌騰醫師提供)
該名女童經過手術後,已順利將宿便取出,目前仍在住院治療中。吳昌騰提醒家長,正常的排便頻率以一天一次為宜,一週也要至少要排3至4次,少於上述次數,就可能引發便秘危機。
如果發現小孩排便量減少,可以多給予蘋果、香蕉、芭樂等粗纖維食品,促進腸胃蠕動,也要記得多喝水、多運動,還要讓小孩維持好心情,因為腸胃道是最能表現情緒的器官之一,只要做到以上事項,就能減少宿便帶來的健康危害。









讀者迴響