
▲經血量爆多!她遭診感染吃藥沒效,竟是「關鍵3cm」惹禍。(圖/示意圖,非文中當事人/記者李佳蓉攝)
記者嚴云岑/台北報導
36歲的高小姐因月經血量異常到醫院求診,經門診子宮肌鏡檢查,發現有一顆約3公分的肌瘤,由於生長部位較深層,只能透子宮腔鏡內視鏡手術刮除,所幸經切片檢查,證實為良性肌瘤,也讓她大大鬆一口氣。
根據統計,生殖年齡的婦女有25%的機率罹患子宮肌瘤,雖然許多子宮肌瘤沒有特別症狀,可以與患者和平共存,但是若是子宮肌瘤形成腹部腫塊,就有可能造成慢性貧血,還有壞死、扭轉導致腹部疼痛等症狀,甚至有可能是惡性腫瘤。
收治患者的花蓮慈濟醫院婦產部主治醫師陳萱表示,子宮肌瘤是婦女常見的疾病之一,最常見的症狀為經期大量出血,或者點點滴滴流不停。雖然超音波就可揪出子宮肌瘤,但如果在比較深的肌肉層或漿膜層,光靠超音波難以發現,但若透過子宮腔鏡檢查,就能及早找出病灶。

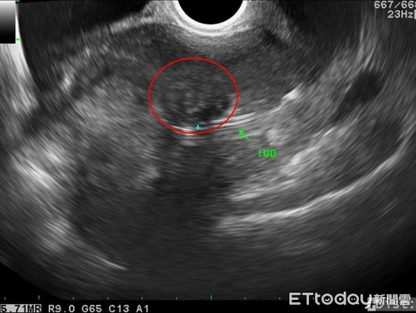
▲手術前檢查出的子宮肌瘤。(圖/花蓮慈院提供)
高小姐表示,她平常工作繁忙,只能等到下班時間才能看醫生,求診過程經歷了好幾個月,一開始遇到其他醫師,都說可能是感染問題,但吃藥治療後,月經大量出血的情況並無改善,甚至血紅素一度掉到6gm/dl,遠低於成人正常女性的1.0~16.0 gm/dl,所幸經過治療,現已恢復正常生活。
陳萱提到,直到現在,還是有很多女性對婦科問題難以啟齒,但民眾應秉持著「早期發現早期治療」的觀念,若發現經期、經血異常,都應該到合格醫院求診,小問題先處理掉,就能減少治療困難度,也能大大增加治療後的生活品質。









讀者迴響