
▲長期喝酒小心爆發急性腎衰竭 。(圖/取自免費圖庫pixabay)
記者謝承恩/綜合報導
喝酒不只傷肝,還會傷腎!一位54歲男性工人天天酒瓶不離手,不但造成慢性胰臟炎、酒精性肝病、長期腹瀉,更因而導致草酸鈣結晶體腎病,最終需要長期洗腎。
澄清醫院中港院區腎臟內科主任高銘聰表示,這位男性患者,年輕時就愛喝酒,8年前曾出現急性胰臟炎及酒精性肝病,血糖升高,常常酯漏性腹瀉,並一度出現尿毒症急性腎衰竭,後來經常都因胰臟炎而反覆住院11次,因長期腹瀉導致身體漸形消瘦。
高銘聰指出,該患者自己也知道身體的疾病源頭是來自於嗜酒,但就是戒不掉酒癮,於最近爆發急性腎衰竭(尿毒症),開始接受血液透析治療(洗腎),兩個月後因腎臟功能未見恢復及腎臟沒有縮小,經做了腎臟穿刺切片檢查,顯示腎臟小管及間質堆積了很多草酸鈣結晶體,並已形成慢性腎小管萎縮腎臟間質纖維化。


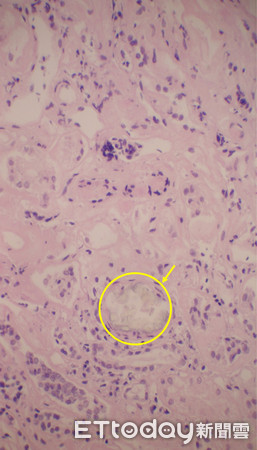
▲腎小管萎縮,腎臟間質纖維化(左),腎小管有草酸鹽結晶體(右)。(圖/澄清醫院中港院區提供)
醫師進一步解釋,正常蔬菜水果裡頭有很多草酸鹽,如果每天攝取100公克大約有10公克會由腸道吸收,身體由肝臟每天產生24公克,因此每天吸收及產生草酸共34公克,一般均由腎臟排泄出去來達到體內草酸的平衡。但如果腸道脂肪吸收不良,再加上脫水的情況下,會造成腸道草酸鹽吸收增加,腎臟排泄減少,過多無法排出的草酸鹽,就會堆積在腎臟小管引起發炎,導至腎小管萎縮腎臟間質纖維化。
而通常會引起腸道草酸鹽吸收增加的疾病,包含慢性胰臟炎、手術切除小腸、腸道切除手術、腸道脂肪吸收不良等, 草酸鹽由腎臟排出減少的風險有長期拉肚子及水分攝取不足。
高銘聰主任強調,健康的胰臟、健康的肝臟、健康的腸道很重要,一旦就醫發現有草酸鈣結晶體腎病,應減少草酸鹽的攝取,使用胰臟酶消化酵素幫助消化,預防腹瀉,減少造成脫水等情況,不過以上述罹病個案,應該是長期嗜酒所造成的終身遺憾,也顯示過度喝酒不只是傷肝,連胰臟、腸道甚至是腎臟都會出問題。







讀者迴響