
▲年長者若有骨鬆,稍一跌倒可能就骨折。(圖/記者趙于婷攝)
記者謝承恩/綜合報導
彰化一名71歲的陳姓婦人在家中滑倒造成嚴重髖臼骨折,因嚴重骨質疏鬆,動大手術恐失敗,醫師決定以牽引配合強效的長骨針治療,復原良好。陳柏辰強調,年長者若有骨鬆,稍一跌倒可能就骨折,即使手術,效果會打折扣,也容易再骨折。他建議民眾平時以「黑、白、綠、黃、魚」飲食5字訣,從飲食強化骨質。
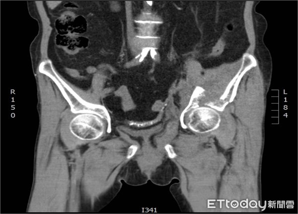
衛福部彰化醫院骨質疏鬆症專科醫師陳柏辰表示,患者經X光與電腦斷層檢查,發現為罕見且嚴重的髖臼骨折,且為最嚴重的「雙柱骨折合併中心脫位」,這類傷勢通常發生在高處墜樓或遭車輛高速撞擊,但該婦的骨質密度T值-3.4,比起骨鬆定義值-2.5低了不少,如此脆弱的骨質,導致輕輕一摔就骨折嚴重。

▲電腦斷層顯示嚴重髖臼骨折。(圖/彰化醫院提供)
陳柏辰說,此類骨折病患通常需要髖臼前後方兩次手術復位加上鋼板固定,手術時間長且流血多,但婦人近期才因心臟衰竭合併肺水腫住院,並不適合接受如此重大的手術,加上骨鬆嚴重,若打上鋼板,猶如將房子蓋於沙堆上,並不適宜,因此決定不動手術,採取牽引治療,再於肚皮打入強效的長骨針,一併治療嚴重的骨折與骨質疏鬆。

▲陳柏辰認為,患者因平時少曬太陽也沒有運動習慣,加上長期洗腎,導致骨質流失。(圖/彰化醫院提供)
陳婦表示,她不知道自己有嚴重骨鬆,這次跌一跤才知道。陳柏辰認為,患者因平時少曬太陽也沒有運動習慣,加上長期洗腎,導致骨質流失、脆化。提醒女性特別是停經後因為荷爾蒙減少,骨流失速度會加快,洗腎、免疫風濕、類風濕關節炎、甲狀腺亢進等疾病患者及抽菸、喝酒、作息不正常的人鈣質流失快,也較易骨鬆。

▲綠花椰、芥蘭菜可以補鈣、強筋健骨。(圖/翻攝自pixabay)
醫師建議,在飲食方面多吃鈣質及蛋白質等強筋健骨的「黑、白、綠、黃、魚」,黑指的是香菇、黑木耳、芝麻、髮菜等黑色食物,白是指豆干、牛奶、金針菇等,綠是指芥蘭、紫菜、綠花椰等,黃是指起司、乳酪、奶油、蛋黃、柳澄汁等,魚是指小魚乾、沙丁魚、鮭魚等,並透過適當日曬增加體內維生素D3,進而幫助人體吸收鈣質,也要多運動來增加骨密度和強健肌肉。







讀者迴響