
▲她吃完海鮮野味腹劇痛,胃鏡驚見「活蟲死咬胃壁不鬆口」。(圖/臺安醫院提供)
文/臺安醫院肝膽腸胃科 蘇志盛醫師
一名剛從上海回台幾天的年輕女性,在吃完晚餐後突然感到上腹部劇烈疼痛,因而前往他院急診及本院急診兩度求治,但皆未得到改善,半夜即使打了嗎啡類止痛藥仍然劇痛,之後轉介到胃腸科門診。
當天早上筆者在門診看到她時,她呈現彎腰、雙手抱住上腹部,痛到連話都無法好好說完。筆者剛開始以為是腹部急症,看完急診紀錄後發現同事已經排除如主動脈剝離、胃腸穿孔、子宮外孕等重症,檢查檢驗也初步排除急性胰臟炎、膽結石等常見上腹痛原因,和病患討論後決定當天下午就趕快安排胃鏡檢查。
上消化道內視鏡檢查是從口腔進入食道,針對食道、胃、十二指腸仔細觀察,俗稱胃鏡。這病人由麻醉科醫師進行無痛麻醉,成功地緩和下來。剛開始進入到胃時,在常見發生潰瘍的竇部沒有發現異樣,往前到十二指腸也沒有異常發現,回拉到胃體部、底部,發現在胃體部的前側區發現局部黏膜紅腫,隱隱約約有出血性胃炎的樣子。

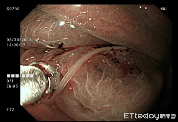
▲蘇志盛用切片鉗抓出海獸胃腺蟲。(圖/臺安醫院提供)
這種僅局限在胃體部的發炎並不常見,顯然得更小心。此時胃皺褶是強烈收縮的,將胃吹氣擴張後,果然在皺摺發炎處找到兇手: 一隻白色近透明的小蟲。
我用切片鉗開始抓蟲,蟲體很小並不好抓,瞄準後沒想到這隻活蟲死死咬住胃壁不肯鬆口(可以想見患者有多痛!),需要再拉幾下才離開胃壁,蟲體立刻蜷曲在切片鉗上。接著就簡單了,蟲體取出後、泡至福馬林檢體盒,它掙扎約幾分鐘後就靜止不動了,送驗證實是海獸胃線蟲。
海獸胃線蟲是一種海洋魚類常見的寄生蟲,較少出現在淡水魚體內,食用生魚片、烹煮不全的海鮮都是可能的感染來源。急性症狀包括上腹部疼痛、噁心、嘔吐、吐血等,待蟲體入侵組織之後,可能會引發全身性過敏反應及嗜酸性白血球增加。這位病患在胃鏡直接移除蟲體後,上腹疼痛立刻消失,還能開玩笑說都還沒生過小孩,倒先生了隻小蟲。
值得一提的是,原本以為患者是旅遊期間感染,細細詢問之下,患者是回台灣後的晚餐大啖海鮮野味,熊青熊好呷,連蟲蟲也活跳跳。










讀者迴響