
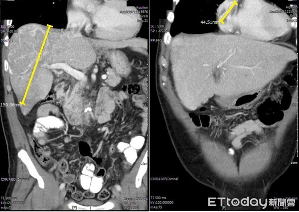
▲肝癌腫瘤長大到15公分(左),甚至還侵入右心房(右)。(圖/亞洲大學附屬醫院提供)
記者謝承恩/綜合報導
桃園一名80歲老翁本身患有C肝,且定期回診追蹤,但近期稍微走動便覺得喘,赴醫檢查發現竟是肝癌末期,且「腫瘤如同千層派層層堆疊」塞到右心房,隨時都有猝死的風險,經評估後,建議採標靶真光刀治療6周,如今腫瘤縮小25%,氣喘吁吁情形大幅改善。
亞洲大學附屬醫院放射腫瘤科主任王博民表示,患者本身有C肝病史,雖然每半年定期做超音波追蹤,但近期出現喘的情形,沒想到竟已出現11公分肝腫瘤,且肝癌引發的「癌栓」,沿著下腔靜脈延伸至右心房約4公分大,一旦癌栓脫落,恐導致猝死,故每周搭乘高鐵南下接受標靶真光刀治療,3周後腫瘤已大幅縮小25%,不必擔憂心臟會突然罷工了。
王博民指出,惡性重大的肝癌腫瘤每40天會長大一倍,有C肝病史的民眾,更應每三個月回診接受超音波及抽血檢查,通常出現像該患者這樣的症狀--肝腫瘤約15公分大,加上延伸至右心房,使右心房也出現4公分腫瘤,多數狀況恐早已肝衰竭,而他應是長年保有運動習慣,使體力及免疫力較同齡者強,「否則無法支撐這麼久」。

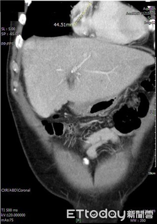
▲肝癌層層堆疊形成「癌栓」,會侵襲血管及淋巴系統。(圖/亞洲大學附屬醫院提供)
王博民分析表示,在肝癌腫瘤生長過程中,會層層堆積,所產生的「癌栓」約有1%至3%的機率,會脫落沿著血管流動跑到右心房,以致侵襲血管和淋巴系統,故肝癌晚期患者常為右心房或下腔靜脈血管阻塞的高風險族群,一般治療6周後有90%機率腫瘤會消一半以上;萬一心臟收縮將癌栓打入肺動脈,即可能呈現急性呼吸窘迫或衰竭、休克、昏迷等情形,嚴重時更可能猝死。
王博民強調,因考量患者年事已高,且腫瘤已大到塞住右心房,經評估後,建議使用標靶真光刀 (TrueBeam)系統,透過立體定位放射治療殺死癌細胞,經3周進行15次療程後,輔以肝癌標靶藥物治療,目前腫瘤已縮小至3公分,患者的症狀大幅改善。

▲醫師提醒,肝癌患者治療後六個月內,勿從事出力的工作。(圖/亞洲大學附屬醫院提供)
醫師提醒,因標靶真光刀系統在多數情況下,能在短時間內見到成效,許多患者在身體狀況好轉後,便開始提重物,或進行爬山等活動,導致不久後症狀復發,故建議肝癌患者治療狀況穩定後,六個月內盡量不要從事出力的工作,運動改以散步的方式,才能避免肺梗塞或腦梗塞。








讀者迴響