
▲當小孩出現鼻塞、流鼻水時,有些家長會將鼻竇炎誤認為過敏。(示意圖非當事人/亞洲大學附屬醫院提供)
記者謝承恩/綜合報導
台中3歲廖小弟因左眼及臉頰紅腫,合併黃膿鼻涕、發燒不退,赴醫確診為急性鼻竇炎合併眼周感染,因紅腫相當嚴重,兒科醫師擔心眼睛感染恐影響視神經,透過電腦斷層檢查後,發現眼皮內已化膿,旋即會診眼科,以手術引流膿液及施打抗生素,兩周後健康出院,醫師也提醒若輕忽病症,恐有失明風險。
亞洲大學附屬醫院兒科部主治醫師陳劍韜表示,廖小弟流黃鼻水症狀已持續2至3天,這次伴隨單側眼睛異常紅腫,與一般過敏是雙側眼睛紅腫不同,經電腦斷層檢查,確診為急性鼻竇炎合併嚴重眼眶周圍膿瘍,因擔心影響視力,便由眼科醫師進行眼科手術,引流膿瘍。
陳劍韜指出,當小孩出現鼻塞、流鼻水的症狀時,有些家長會將鼻竇炎誤認為過敏,前者為細菌感染,通常出現單側鼻塞、伴隨黃膿鼻涕,後者為外來抗原或過敏原造成慢性發炎,導致雙側鼻塞,但鼻水呈清澈狀,且鼻竇炎有時合併發燒、喉嚨發炎、鼻內有異味、眼眶周圍浮腫等情形。

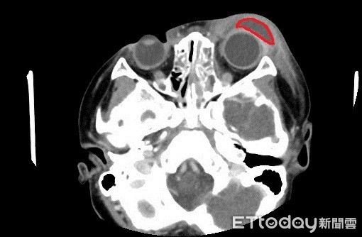
▲男童的電腦斷層顯示,紅圈處出現眼睛潰傷、紅腫症狀。(圖/亞洲大學附屬醫院提供)
鼻竇是位於頭顱內的空腔,並非一出生就存在,需要時間慢慢從實心形成空腔,通常6歲以後才會發育完全,因鼻竇與眼睛、腦部距離近,加上孩子眼眶內側骨壁較薄、尚未發育成熟,若細菌不慎向上蔓延,容易導致眼眶出現蜂窩性組織炎、眼窩膿瘍,若不及時治療,更可能導致腦膜炎、失明等後遺症。
陳劍韜表示,小兒急性鼻竇炎通常需透過抗生素治療10至14天,但有些家長認為孩子鼻塞、流鼻水的症狀改善,或擔心長期吃藥影響身體,會幫孩子擅自停藥,一旦抗生素治療不完全或間斷性服藥,不但復發機率高,也容易產生抗藥性,不可不慎。
醫師提醒,孩子感冒若合併黃綠色鼻涕、咳嗽、發燒、喉嚨發炎、眼眶及臉部脹痛,可能為急性鼻竇炎,應立即赴醫治療,越早使用抗生素效果越好,若感染較嚴重者,伴隨眼眶周圍紅腫、凸眼症狀,必要時需透過手術引流膿瘍,才能減少後遺症發生。







讀者迴響