健檢超音波沒照到膀胱...他血尿8個月竟患「第一期癌」

2018年11月8日 15:37

▲血尿。(圖/達志示意圖)

▲患者因長期血尿卻被誤以為是腎結石。(圖/達志示意圖)

記者謝承恩/綜合報導

台中60多歲徐老闆八個月來持續出現血尿症狀,一度以為身子出問題,安排健檢想揪出病因,但健檢項目不包括膀胱超音波,僅提醒留意結石問題,不料血尿症狀惡化,改赴泌尿科檢查後發現,竟然是膀胱腫瘤惹的禍,所幸透過手術刮除後沒有擴散跡象,病理報告也證實為膀胱癌第一期,讓患者鬆了一大口氣。

亞洲大學附屬醫院震波碎石室主任石欣衛表示,患者因長期出現血尿情形,曾透過全身健檢希望能揪出原因,只是雖有安排腹部超音波檢查,但檢查部位並不包括膀胱,因檢查膀胱前需請患者喝水,待脹尿時才能看清膀胱情況,往往耗費許多時間,以致於健檢報告出爐後顯示一切正常,僅提醒可能有腎結石問題,建議會診泌尿科。

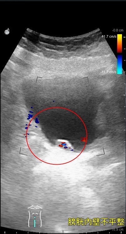
▲▼膀胱超音波。(圖/亞洲大學附屬醫院提供)

▲膀胱超音波顯影中,患者膀胱內壁不平整,多處長有腫瘤。(圖/亞洲大學附屬醫院提供)

但患者前來就醫時,表達下腹部並無疼痛感,當下研判應與腎結石無關,於是安排膀胱超音波檢查,透過膀胱鏡確診,發現膀胱竟有多處腫瘤,所幸腫瘤僅侷限於黏膜層,經採取「尿道膀胱腫瘤刮除術」,患者才免除無痛性血尿之苦。

石欣衛指出,膀胱癌為泌尿系統常見的腫瘤之一,典型症狀為無痛性血尿,少部份患者合併頻尿、小便疼痛等現象,好發於60歲以上的長者,男女比約2比1,目前發生原因尚未明確,但根據研究顯示,吸菸是造成膀胱癌的主因,另外,有家族史、嗜酒、經常暴露於化學染料環境中的民眾,也會增加罹癌的機率。

▲▼膀胱超音波。(圖/亞洲大學附屬醫院提供)

▲健檢項目須注意是否包含膀胱超音波,還是僅只有腹部檢查。(圖/非當事人/亞洲大學附屬醫院提供)

石欣衛提醒,接受經尿道膀胱腫瘤刮除術的患者,術後兩年應每3個月接受一次膀胱鏡檢查,兩年後改為每6個月檢查一次,中途若出現任何不適,則應立刻回診,另外也建議患者每天至少喝2000 CC的水、避免憋尿,才能降低誘發惡性腫瘤復發的機會,飲食上清淡少鹽,多吃蔬果,才能預防膀胱癌上身。

分享給朋友:

追蹤我們:

讀者迴響