
▲外出踏青,需注意不可以隨地飲用山泉水。(圖/示意圖非當事人/亞洲大學附屬醫院提供)
文/ 江承源(亞洲大學附屬醫院肝膽胃腸科主治醫師 )
每到假日許多民眾喜歡至山區享受芬多精,見著潺潺流淌的山泉水,不禁掬一把解渴,頓時感到一陣沁涼,40歲白小姐日前喝下山泉水後,過幾天開始肚痛,正好到醫院參加健檢,沒想到在腸道內發現充斥鉤蟲及蟲卵,緊急夾出鉤蟲後,立即給予抗寄生蟲藥物治療,提醒民眾外出避免生飲山泉水,以免發生併發症。
腸道寄生蟲感染途徑可分為「經口食入」和「經皮膚穿入」,如生吃、生飲、飯前便後不洗手等行為,都可能接觸到蟲卵而經口食入,至於「經皮膚穿入」的管道,則是寄生在人體腸道的成蟲,其產下的蟲卵隨糞便排出後,直接或間接感染土壤或栽種的蔬果、水源,當民眾赤腳親近大自然時,就可能因幼蟲刺穿腳底皮膚而入侵體內。

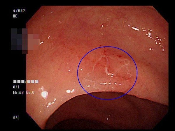
▲患者肚痛就醫檢查竟拉出鉤蟲。(圖/亞洲大學附屬醫院提供)
民眾當受到鉤蟲感染後,可能出現腹部不適、腹瀉、嘔吐、體重減輕、貧血等症狀,若蟲子爬到氣管,則會導致咳嗽、喉嚨癢,嚴重時可能因鉤蟲經血液循環到肺部,造成肺部感染,甚至引發肺炎,千萬不可不慎。
提醒民眾在山區遊玩一定要注意飲食衛生,生摘蔬果類建議返家後用自來水洗淨後再食用,山泉水則需經煮沸後才安全,且不可隨地大小便,避免汙染山區水源,雖然感染腸道寄生蟲的民眾大多症狀輕微,或無出現症狀,但寄生蟲仍具有傳染力,故若出現疑似寄生蟲感染症狀,應立即赴醫檢查及治療,才能確保自己及他人的健康。









讀者迴響