
▲教課太認真!鋼琴老師3指不舉,竟是這病害她「肌腱斷裂」。(圖/取自免費圖庫pixabay)
記者嚴云岑/台北報導
31歲的許小姐是位鋼琴老師,有類風濕性關節炎病史,近2年工作繁忙,無法定期回診,加上密集教學,手腕開始發炎疼痛,中指、無名指、小指都無法伸直抬起,更罔論彈琴。赴醫院檢查才發現,她右手三條肌腱斷裂,空隙長達6公分,因無法直接修補,只能取大體老師捐贈的多條肌腱韌帶移植,重建回縮肌腱,經過2個月癒合及復健,終於能重新彈琴。
收治患者的台北慈濟骨科部主治醫師周博智表示,肌腱是由膠原蛋白、彈性纖維等組成,其外有滑液囊鞘包覆,會分泌潤滑液。許多手部重複性的動作,容易讓肌腱因反覆性張力而受傷,使得腱鞘腫脹、活動受限,甚至局部鈣化;手指關節會有紅、腫、熱、痛的發炎反應,甚至僵硬無法活動。

▲許小姐手腕關節因為類風濕反覆發炎而磨損僵硬變形。(圖/台北慈濟醫院提供)
周博智表示,若還患有類風濕性關節炎,則會更加重筋骨發炎變形的狀況。像許小姐本身是類風濕性關節炎病友,加上認真鋼琴教學,未能按時回診治療,讓原本已因病受損的手部筋骨症狀更趨嚴重。
周博智提到,肌腱受損或急性斷裂,大多可以靠手術縫合,加上石膏保護4至6周,輔以功能復健,術後3個月多可恢復正常,但類風濕性關節炎的病患,殘餘肌腱往往會因反復發炎而脆化,加上肌肉回縮的影響,一旦受損斷裂,通常難以直接縫合修補,所以一般傳統是另取自身的腳趾頭或其他較不重要部位的肌腱來重建手指肌腱。

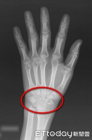
▲影像檢查顯示許小姐手腕肌腱斷裂。(圖/台北慈濟醫院提供)
為避免傳統需要另取自身足部肌腱的手術傷口,並減少術後行走的不適,周博智醫師有許多案例是在徵詢病人同意後,以大體老師捐贈的肌腱韌帶來重建,不但沒有排斥問題,恢復效果相當好。
周博智表示,臨床上也遇過其他類風溼性關節炎的病患,因為手部突然施力,或年節掃除做家事過度用力刷洗,造成手部發炎脆弱的肌腱斷裂或關節變形。他提醒類風溼性關節炎病患,除了避免反覆用力外,更要定期追蹤、規律用藥,減少關節或肌腱的併發症。平常要規律做柔軟操,工作運動前後也要熱身足夠,若疼痛加劇要盡早充分休息,切勿逞強而造成更嚴重的傷害。









讀者迴響