
▲若是因車禍或其他意外造成關節損傷,應盡速就醫。(圖/南投醫院提供,以下皆同)
記者周姈姈/綜合報導
南投一名就讀國中的張姓少年騎電動車時,因天雨路滑不慎犁田,回家後屁股痛到無法走路,要用手扶著大腿才有辦法緩慢移動,幾天後少年在家屬陪伴至南投醫院,發現髖關節脫臼,經由醫師協助徒手復位術後仍感不適,檢查發現有軟組織卡在髖關節中,隨即開刀取出破裂的軟組織,現已恢復良好。
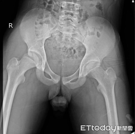
骨科王證琪醫師指出,這名患者來院時右腳呈現屈曲、內收及內轉姿勢,X光檢查發現其髖關節後側脫臼,於是安排開放性復位手術,發現髖臼關節唇(labrum)破裂並且卡在股骨頭與髖臼之間,在取出破裂的軟組織後,關節確實復位,術後也恢復良好。

▲髖關節脫臼可能會合併股骨頭骨折或髖臼骨折。
王證琪表示:「青少年的髖關節脫臼並不常見,通常是由高能量的創傷,例如車禍等意外所造成。」髖關節脫臼是骨科的急症,需要即時復位,同時也需留意是否有血管、神經、或是其它器官的損傷,髖關節脫臼有時會合併股骨頭骨折或髖臼骨折。脫臼的關節經由徒手復位之後有可能也會發生小碎骨卡入關節內,或是像這次的案例,是破裂的關節唇卡入關節內,這些狀況都必須仔細診察並即時處理。
王證琪也提醒民眾,若是因為車禍等意外而造成關節受傷,應盡速就醫,在急診初步診治後仍需尋求專業的骨科醫師評估及治療。










讀者迴響