
▲女子腹痛多年,檢查才發現自己體內竟然藏了一根針。(圖/翻攝自大陸網站)
國際中心/綜合報導
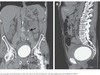
中國大陸遼陽43歲的王小姐發現自己只要彎腰或過度勞累,腹部就會出現持續的劇痛,就醫檢查發現,竟然有一根縫衣針藏在她的腹部裡,回想才發現原來自己飯後曾用針剔牙,但不小心吞下肚去,由於身體沒有特別感覺,就這樣放著不管長達30年。
王小姐第一位求治的醫生雖然發現原因,卻沒有幫忙將針取出,後來2年的時間她又諮詢了5、6家醫院,但都沒有醫生有把握能確切將針取出,其中一名醫生告訴她,這根針如果留在體內有可能會繼續遊走,如果不小心碰到腎臟或其他動脈,將會危及生命。
中國醫科大學遼陽中心醫院普通外科副主任醫師任慶華表示,檢查發現,這根針是從胃後壁穿出來,連著胰腺又靠近脾動脈,取針若一個不小心就會造成大失血,幸好手術於8月順利完成,王小姐目前已順利出院。







讀者迴響