
▲抗體「秀逗」亂打小血管,可憐男童腿上腳掌「處處紫」。(圖/國泰醫院提供)
記者嚴云岑/台北報導
3歲的王小弟上週感冒才好沒多久,早上起床又突然出現痙攣性的腹痛,不僅臉色蒼白盜汗,雙腿還無法伸直,經診所初步診斷為「腸套疊」,後因症狀未改善,加上王小弟隔天腿上出現一塊塊「紫紅色疹子」,讓媽媽嚇得趕緊帶往大醫院就診,經過超音波檢查後,發現其罹患的為「類過敏性紫斑症」,所幸經類固醇藥物治療後,已恢復健康。
類過敏性紫斑症是一種自體免疫疾病,90%的患者皆為3~10歲的兒童,雖然致病機轉不明,但可能與自體免疫反應或免疫複合體沈積所引起的「血管發炎」有關。除了幼童外,成人也有可能發病,基本上男性罹病人數約為女性的1.8倍,且大部分患者發病前都有上呼吸道感染症的病史。
國泰醫院小兒科主任級醫師林隆煌表示,當上呼吸道感染後,體內會產生一些抗體,雖然平時都與免疫反應和平共存,但有時受到相同物質刺激時,抗體就會「分不清敵我」隨意攻擊,進而引發過敏反應,並激活沈積於皮膚、腸胃道、關節腔、臟器等小血管,造成發炎。

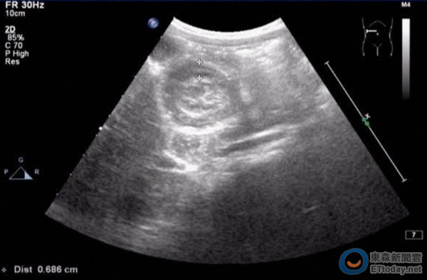
▲類過敏紫斑引起腸套疊之靶子圖形。(圖/國泰醫院提供)
紫斑在臨床上主要分為3個特徵,其中單純型紫斑佔了90%,其餘的腹型、關節型、腎型等過敏反應,則可能在紫斑出現前後7天內出現。
林隆煌說,和紫斑同時出現的腹部症狀,包括嘔吐、腹絞痛、血便,嚴重時甚至會出現腸胃道大量出血、腸套疊或穿孔,曾經有病童因紫斑「太晚」出現,被誤診為闌尾炎進而切除盲腸。罹患關節型紫斑的病童,則會出現反復性的腳踝、膝蓋、手肘、手腕等腫痛反應,所幸痊癒後不會影響關節變形。

▲大部份類過敏性紫斑症患者發病前都有上呼吸道感染症的病史。(圖/示意圖/達志影像)
「類過敏性紫斑症」伴隨著最嚴重反應為「腎臟病變」。此類患者通常在紫斑出現後1~8周發病,雖然大部分患者皆會在4週內痊癒,但有1~2%的病童會導致慢性腎炎,部分病例還有可能出現腎衰竭,所幸台灣出現機率並不高。
林隆煌提到,過敏性紫斑的病程可能持續一整年,10歲以下的兒童有15~60%於診斷後的4~6個月會再行復發,但症狀會比第一次輕微,家長若發現孩童身上再度出現紫斑,無須過度驚慌,但還是可以帶來診間做皮膚切片檢查,以免出現白血球破裂血管炎,造成皮膚壞死。










讀者迴響