
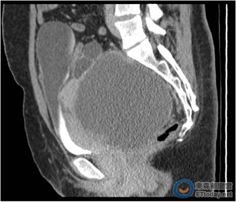
▲子宮內膜異位忍20個月才就醫,「巧克力囊腫」變卵巢癌。(圖/台北醫學大學附設醫院提供)
記者嚴云岑/台北報導
一名38歲的婦女有卵巢子宮內膜異位瘤,雖然動過3次手術,但在第4度復發時因症狀無明顯不適,拖了20個月才就醫,經醫師診斷,已經轉變成14公分的惡性卵巢癌,由於沾黏過度嚴重,最終仰賴達文西手術,才將子宮、卵巢與淋巴的腫瘤切除,術後仍需接受化療。
台北醫學大學附設醫院婦產部主任劉偉民表示,子宮內膜異位是指內膜長在子宮腔以外的地方,如果長在卵巢中,就是所謂的「巧克力囊腫」。婦女得到子宮內膜異位的機率大約為10%,一般接受治療後仍有30%的復發機率,其中約有1-2%的人會轉為癌症;有子宮內膜異位症的患者增加卵巢癌的風險更為正常人的1.3-1.8倍。

▲台北醫學大學附設醫院婦產部主任劉偉民。(圖/台北醫學大學附設醫院提供)
劉偉民說,當巧克力囊腫在卵巢中漸長大、壓迫到鄰近器官時,才會出現一些腹漲等模糊症狀,容易被患者輕忽,因此常被稱作「婦科癌症中最可怕的隱形殺手」,因為等到患者出現腹脹、腹痛、消化不良、食慾降低、體重減輕等症狀時,通常已經是癌症第三期。
劉偉民提醒,經痛是子宮內膜異位的最大症狀,肥胖、家族遺傳、初經早、未生育過、有內膜異位症者,都是卵巢癌的高危險群,呼籲年輕女性千萬不要把經痛當宿命。
由於卵巢癌無法透過抹片檢查得知,他也呼籲若符合上述條件,且經痛與腸胃道下腹悶痛、腹瀉等同時發生的女性,應思考自己是否罹患其他婦科疾病,儘早到婦產科檢查,利用超音波的顯影診斷與判讀卵巢癌,以錯過治療時機。









讀者迴響