嬰輸尿管狹窄腎腫如「熊掌」 腎盂整形術0.3CM切口救命

2015年12月23日 15:22

▲黃小弟與母親、外科部楊緒棣主任、麻醉科張雅音醫師合影。(圖/台北慈濟醫院提供)

記者嚴云岑/台北報導

34歲的黃太太懷孕產檢時發現腹中男嬰的右側腎臟水腫,出生後確定是腎盂輸尿管間狹窄,造成尿液阻塞無法正常將尿液排入膀胱,且腎臟腫大3倍,已喪失三分之一的功能,面臨腎衰竭致命的危機。台北慈濟醫院以0.3~0.5公分的迷你傷口,使用腹腔鏡微創的方式進行「腎盂整形術」,切開狹窄的輸尿管,再將輸尿管小心縫合在腎盂上,擴大輸尿管的管徑,1.5個月大的男嬰腎臟排尿順暢,不再阻塞,術後5天順利出院,成功搶救國內最年幼的輸尿管狹窄患者。

外科部楊緒棣主任說,黃太太在懷孕五個月時,考量自己是高齡產婦,產檢時選擇做高層次超音波,檢查胎兒全身器官的發育狀況,結果發現腹中男嬰的右側腎臟有嚴重水腫的情形,讓她一度猶豫是否要中止懷孕,但基於孩子是個生命,而且現今醫療技術發達,決定先生下來,再考慮後續治療。

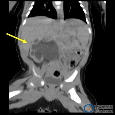
黃小弟7月出生後,到小兒科接受腹部超音波檢查,確定右側腎盂輸尿管狹窄,正常新生兒的輸尿管管徑為0.3~0.4公分,黃小弟卻只有0.1公分,不僅尿液阻塞,腎臟也從正常的3X5公分,腫脹到5X6公分,體積足足大了三倍,跟一個熊掌差不多大,已喪失三分之一的功能,若不緊急手術打通輸尿管,恐怕將造成腎衰竭,將來甚至容易得敗血症而死亡。

▲電腦斷層顯示黃小弟的右腎腫大如熊掌。(圖/台北慈濟醫院提供)

由於傳統手術的傷口長達4~6公分,而大人的微創手術器械約1~1.5公分,若貿然用在小嬰兒的身體上,可能有致命危險。楊緒棣因此採取迷你微創手術,在黃小弟的腹部開兩個0.3公分、一個0.5公分的小洞,再用僅僅0.3公分的器械進入,切開狹窄的輸尿管,再將輸尿管小心縫合在腎盂上,輸尿管的管徑從0.1公分拉寬到0.5公分,黃小弟術後恢復良好,排尿順暢不再阻塞,住院5天即順利出院。

楊緒棣指出,腎盂輸尿管間狹窄是先天構造異常所造成,發生率約千分之3,80%的患者可經由產前檢查被發現,其他患者可能在兒童時期發高燒或成年後持續腰痛、血尿、腎結石才發現。男性略多於女性,無從預防也無藥物可改善,只能在確診後小心判斷是否需要手術。

▲楊小弟的右腎腫比一般新生兒腫大3倍。(圖/台北慈濟醫院提供)

腎水腫的新生兒大約有2/3不需手術就會自行痊癒,1/3則阻塞嚴重需手術。楊緒棣表示,「縫合」是此手術最困難的技術,一般微創手術用於摘除器官比較容易,但用迷你又細長的器械來縫合則相當困難。

此外,小嬰兒手術過程中的麻醉也相當困難,麻醉科張雅音醫師補充道,嬰兒的許多器官尚未發育完成,例如氣管比較細小又脆弱,建立呼吸道就是一項挑戰;其他如中樞神經調控體溫的功能也未發育完成,若手術時間太長,嬰兒可能會發生體溫過低的情形。楊緒棣醫師多年來累積豐富的小兒泌尿手術經驗,這次為1.5個月大的嬰兒進行腎盂整形手術,創下國內年紀最小的案例。

▼楊緒棣主任(戴黃帽者)為黃小弟進行手術。(圖/台北慈濟醫院提供)

分享給朋友:

追蹤我們:

讀者迴響