
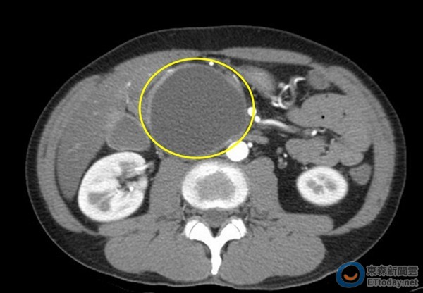
▲電腦斷層影像顯示假性囊腫位置(黃圈處)。(圖/台北慈濟醫院提供)
記者嚴云岑/台北報導
45歲的黃先生長期酗酒,某天腹部劇痛,就醫診斷為急性胰臟炎,胰臟有還6公分大的假性囊腫,已壓迫到十二指腸,時常感覺腹脹,吃一點東西就脹氣,更在三個月內暴瘦10公斤。台北慈濟醫院以內視鏡超音波技術,在十二指腸和囊腫之間置放支架,引流囊腫液體到腸道,再排泄到體外。過程中只需輕度麻醉,也免除傳統剖腹手術器官沾黏的風險,無傷口、恢復快,術後3天即順利出院。
胃腸肝膽科醫師陳建華表示,胰臟炎的主因大多是飲酒、膽結石以及三酸甘油脂過高,其他如胰臟腫瘤、先天發育不良、高血鈣等,也可能引起胰臟炎,其中有10~20%的患者會併發假性囊腫。
「假性囊腫不是腫瘤,而是由壞死細胞、水分或其他胰臟代謝物形成的大水囊」,陳建華說,有些患者的囊腫會由身體自行吸收消失,觀察期是6週,若腫瘤沒有消失就必須治療,以免日益嚴重造成感染甚至敗血症。
▼慈濟醫院利用超音波刺穿胰臟內的假性囊腫,再將膿水引入十二指腸,排出體外。(圖/台北慈濟醫院提供)

由於黃先生的假性囊腫並未消失,陳建華決定採取內視鏡超音波的方式引流。內視鏡的前方有一個探頭,透過超音波的影像,找出囊腫的位置後,伸出探頭裡的細針,從十二指腸穿刺到囊腫裡,在兩者之間做一個通道,放入支架,讓囊腫內的發炎液體經由支架流到十二指腸,再由腸道排泄到體外。
陳建華說明,傳統的外科手術必須全身麻醉、剖腹再進行治療,肚子會留下傷口,也有器官沾黏的風險;內視鏡超音波只需輕度麻醉即可讓病人減痛,不但沒有傷口,也避免沾黏的風險,病人術後恢復更快。
慈濟醫院也提醒,飲酒是罹患胰臟炎和假性囊腫的主因,曾經有病人在術後不戒酒又再度復發,因此戒酒、少吃刺激性食物、控制血脂肪,才能好好保護胰臟的健康。
▼陳建華醫師。(圖/台北慈濟醫院提供)










讀者迴響