
▲行政院11日才同意停止H7N9流感指揮中心運作,22日就再爆境外移入感染新案例。(圖/東森新聞)
政治中心/綜合報導
行政院11日才同意停止H7N9流感中央流行疫情指揮中心運作,讓H7N9流感的各項監測及防治措施回歸常態管理。沒想到現在H7N9境外再度添例,疾管局22日晚間再度召開會議,並發布新聞稿。
疾管局指出,原先H7N9的流感中央流行疫情指揮中心是為因應中國大陸2013年3月底發生H7N9流感疫情,至今我國累計通報574例H7N9流感病例,僅2例確定病例,而且皆為中國大陸移入。如今女陸客來台旅遊,讓境外移入感染再添第3例。
疾管局新聞稿全文如下:
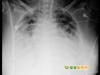
疾病管制署於今日(4月22日)傍晚確認一名境外移入H7N9流感病例。個案為一名居住 於中國大陸江蘇省南京市44歲女性,4月17日入境台灣旅遊時即有乾咳、發燒及肌肉痠痛等症狀,入境時未發燒,當日因身體不適先赴新北市某診所看診,4月 18日出現噁心、嘔吐及發燒症狀,4月19日再至某醫院就醫,胸部X光顯示左側肺炎合併肺積水,4月20日由領隊陪同搭乘救護車轉至某醫學中心繼續接受治 療,當天開始投予克流感,並向疾病管制署通報疑似H7N9流感,檢驗結果於今日晚上7:30確定;目前持續在負壓隔離加護病房治療中,病況嚴重。經疫情調 查,該病例來台前曾至南京六合區之傳統市場購買雞隻屠體,同住家人5人未有出現症狀者,另病例具糖尿病病史。該名病患同團團員(含台灣導遊及司機)共34 人,團員目前仍在台灣繼續既定旅遊行程,預計4月24日出境;截至新聞稿發佈時間為止,接觸者未有出現症狀者。
疾管署表示,病例於台灣旅遊 期間,曾到過台北市、新北市及南投縣等縣市之景點,疾管署已掌握詳細之旅遊史及曾住宿之飯店資料,並積極掌握旅遊期間之接觸者,另刻正調閱病患來台航班之 艙單資訊。現已透過該署各區管制中心及縣市衛生局人員針對旅遊期間之人時地展開調查,力求確實掌握所有可能之密切接觸者,並將造冊列管,另針對該患者就診 醫院之醫護等相關接觸者,已展開調查及造冊;將提供流感抗病毒藥劑予密切接觸者。公衛人員對於所有密切接觸者均給予充分衛教以及H7N9流感自主健康管理 通知書,並主動追蹤至解除列管,若接觸者出現發燒、咳嗽等類流感症狀時,請戴上口罩就醫,並主動告知醫師接觸史。該署刻正透過IHR 聯繫窗口通報WHO及通知中國大陸與港澳聯繫窗口。
本病例係我國繼去(102)年4月24日及12月31日之二例H7N9流感確定病例後, 第三例中國大陸境外移入之H7N9流感確定病例;我國自去年4月3日起將「H7N9流感」列為第五類傳染病,迄今累計共576例通報病例,其中3例境外移 入確定病例(含1例死亡病例),573例H7N9檢驗陰性。
中國大陸H7N9流感病例數自本年第6週(2月2日)起呈下降趨勢,近期為零星 散發病例,分布省市亦減少;中國大陸及香港去年10月1日入秋後迄今H7N9累計確認290例,其中廣東省102例、浙江省92例、江蘇省23例、湖南省 20例、福建省17例(其中1例浙江省移入)、安徽省10例、上海市8例、廣西3例(其中1例廣東省移入)、北京市2例、貴州省1例(浙江省移入)、吉林 省1例、山東省1例(江蘇省移入),香港10例(皆為廣東省移入)。目前該署針對人類禽流感旅遊疫情建議,中國大陸湖南省、安徽省、江蘇省、廣東省、福建 省為第二級:警示(Alert),其餘各省市(不含港澳)仍維持第一級:注意(Watch)。
該署再次提醒計畫前往疫區之國人,務必落實洗 手等良好衛生習慣,避免接觸禽鳥,尤其切勿撿拾禽鳥屍體,食用雞、鴨、鵝及蛋類要熟食,以避免感染。返國時如出現發燒或類似流感症狀,應告知航空公司人員 及機場港口之檢疫人員;返國後如出現上述症狀,應戴上口罩儘速就醫,並告知醫師接觸史及旅遊史。最新疫情等相關資訊可參閱疾管署網站(http://www.cdc.gov.tw)之「H7N9流感專區」與「國際旅遊資訊」專區,或撥打免付費民眾疫情通報及關懷專線1922(或0800-001922)洽詢。






讀者迴響