
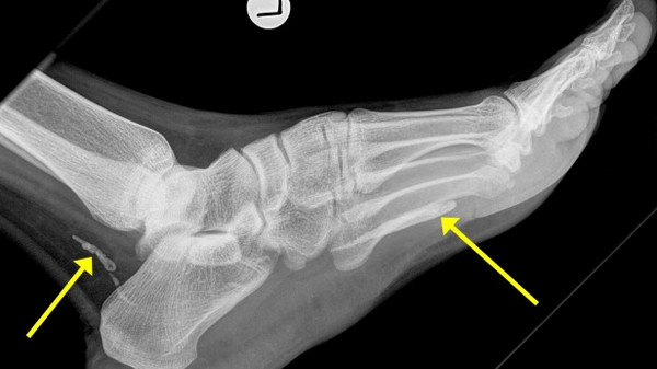
▲「龍線蟲」寄生於澳洲男子腳踝中,導致腳踝腫脹。(圖/翻攝自澳洲《The Age》)
國際中心/綜合報導
[廣告] 請繼續往下閱讀.
澳洲東岸城市墨爾本(Melbourne)一名38歲從蘇丹移民來的男子因腳痛就醫,醫生透過X光片,意外發現他的腳踝中有疑似為「龍線蟲」的寄生蟲,且已經死亡腐爛,才會導致腫脹疼痛的狀況。在經過手術後,醫生已經將腳踝中的寄生蟲取出,男子也已經全面康復。
根據澳洲《The Age》報導,澳洲St Vincent's醫院的醫生達比(Jonathan Darby)指出,這名受感染的男子已經移民到澳洲將近4年,經過判斷,「龍線蟲」已經生活在他的腳下多年,所幸透過X光發現,腳踝內分成兩部分的寄生蟲只有幾公分長,男子也在手術後恢復健康。
「麥地那龍線蟲病」(Dracunulus medinensis),又稱為「幾內亞線龍蟲病」,是一種能夠引起疼痛,且導致勞動能力喪失的寄生蟲病。人類也是目前此寄生蟲唯一明確的飼主,從飲用被汙染的水中感染,這種疾病在過去200年終,主要發生在缺少安全水源的貧困地區。
若飲用到受感染的水,幼蟲會透過水蚤(劍水蚤屬)進入人體,並過胃酸溶解,將幼蟲激活並穿透腸壁,感染會持續將近一年的時間,通常始於腿上出現水泡,患者也會感受到發癢、發燒、腫脹和灼燒感,之後約100公分長的成蟲會努力脫出,重複這樣的週期。目前也無針對此病的疫苗,更沒有在成蟲鑽出人體前將其殺死的方法。