
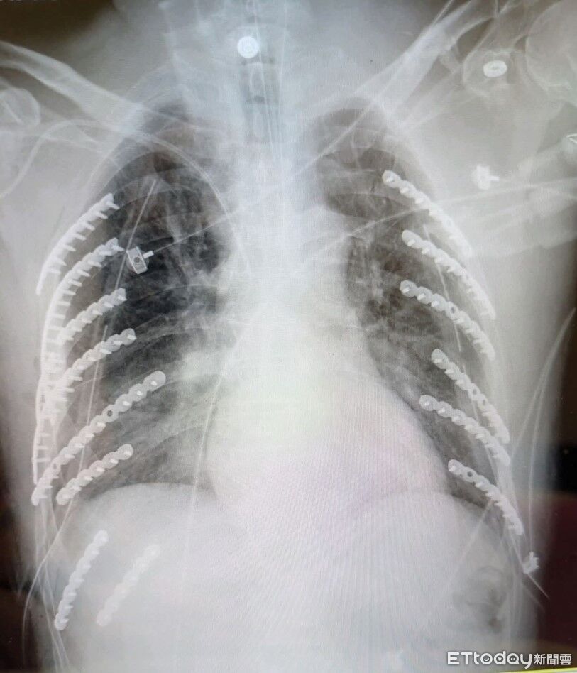
▲台中醫院胸腔外科團隊成功為患者進行鈦合金肋骨固定手術,三週後康復出院。(圖/記者游瓊華翻攝)
記者游瓊華/台中報導
一名67歲牧場員工在斜坡上停放飼料車時,忘了拉手剎車,車子順勢滑下坡,他情急之下衝上前以肉身阻擋,不料卻被車體推擠至柵欄邊動彈不得,當場痛得哀嚎。同事急忙將他送醫,經診斷發現雙側共十四根肋骨骨折、合併雙側氣胸與呼吸衰竭,命懸一線。所幸進行鈦合金肋骨固定手術後,三週即出院,還笑稱自己變成「鋼鐵人」。
[廣告] 請繼續往下閱讀.
衛生福利部台中醫院胸腔外科何蕙如師指出,患者入院時胸腔X光片顯示雙側肋骨共二十八根中,有十四根斷裂,有的甚至斷成兩至三截,情況相當罕見。「比起一般肋骨骨折三至五根,他的傷勢幾乎是三倍以上」,同時還伴隨左鎖骨、脊柱裂傷及嚴重氣胸、呼吸衰竭。
醫療團隊經加護病房觀察後評估,雖斷裂數量多,但並未刺穿血管與肺葉,遂採兩階段手術方式,首階段植入八根、次階段再植入六根鈦合金鋼板,協助肋骨復位固定。術後患者恢復良好,三週後能自行行走出院。他笑說,「現在身上有十四根鋼骨,就像穿了金鐘罩一樣,連家人都說我成了鋼鐵人!」
何醫師說明,人體左右各有十二根肋骨,其中第四至第九根最常骨折。多數肋骨骨折因外傷導致,尤其高齡者骨質脆弱更易受傷。以往治療多採保守療法,需三到六個月復原,且劇痛可能持續兩個月以上,嚴重者甚至無法脫離呼吸器。
隨著鈦合金骨材技術成熟,現行手術能有效穩定胸腔結構、改善疼痛,並縮短恢復期。何醫師指出,若患者出現「連枷胸」(三根以上肋骨各有兩處骨折)、肋骨錯位嚴重、止痛藥效果有限導致呼吸困難,或有氣胸、血胸等併發症,皆可與醫師討論是否進行鈦合金固定手術。她也提醒,術後初期骨頭仍在癒合階段,患者應避免搬重物與劇烈運動,防止胸部再度受撞造成二次損傷。
[廣告] 請繼續往下閱讀..
▲台中醫院胸腔外科團隊成功為患者進行鈦合金肋骨固定手術,三週後康復出院。(圖/記者游瓊華翻攝)