
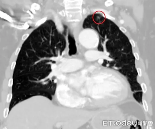
▲光田醫院搶救林男時,電腦斷層意外發現林男肺部邊緣出現一處僅0.9公分的肺結節陰影,事後證實是早期肺腺癌。(圖/光田醫院提供)
記者游瓊華/台中報導
台中一名林姓男子因車禍造成肋骨多處骨折、胸腔積水,被送到醫院急救,結果就在醫師與影像醫學科團隊仔細檢視電腦斷層時,意外發現林男肺部有一個小於1公分的腫瘤,醫師進行手術搶命同時也切除腫瘤,最後病理報告也證實為肺腺癌,讓這個原本可能潛伏多年、毫無症狀的病灶,因車禍而被提早發現,讓男子免於癌王威脅。
[廣告] 請繼續往下閱讀.
肺癌是國人十大癌症之首,其中又以肺腺癌最常見,且早期多無症狀,也被稱為沉默的殺手。光田綜合醫院胸腔外科醫師陳紀寰坦言,像林男這類情況相當少見,若不是這場車禍促使就醫,林先生恐怕要等到腫瘤擴大、侵犯到周邊血管神經或其他重要結構時,才可能出現症狀,但屆時卻也已錯過治療黃金期。
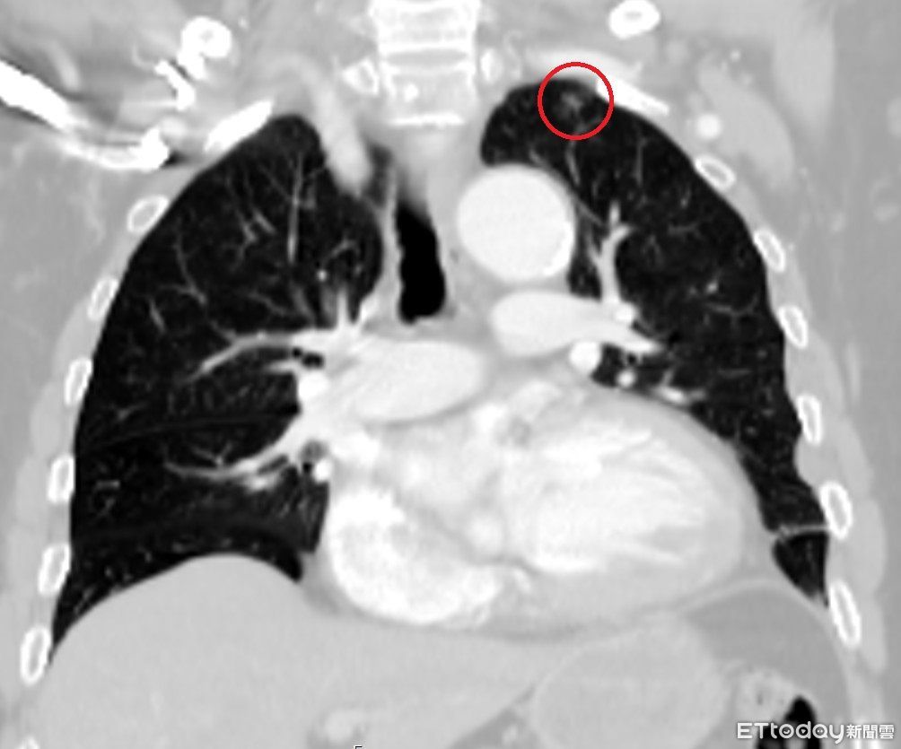
▲台中光田醫院胸腔外科醫師陳紀寰提醒,降低肺癌死亡率的關鍵在於早期發現。民眾可善用政府提供的低劑量胸腔電腦斷層(LDCT)肺癌篩檢補助。(圖/光田醫院提供)
陳紀寰說明,肺腺癌是目前最常見的肺癌類型,偏好生長在肺部邊緣,由於位置較靠外側,初期不易侵犯位置較內側的氣管、神經或血管,因此多數患者在早期幾乎沒有明顯症狀,可能在體內「無聲無息」潛伏多年,等到被發現時往往已是晚期。
[廣告] 請繼續往下閱讀..
林男的狀況屬於肺癌最早期的第一期,是所有肺癌分期中最輕微、預後最好的階段,不僅幾乎無症狀,治癒率極高。也正因為發現得早,處理及時,術後無需接受化療或放療,目前恢復良好,僅需定期追蹤觀察。