記者唐詠絮/彰化報導
國道1號日前發生驚險工安意外!一名51歲陳姓國道工作人員在處理掉落的高危險布鉤繩時,竟遭疾駛而來的遊覽車猛烈撞擊,造成全身多處粉碎性骨折,光是肋骨就斷了14處。經過衛福部彰化醫院緊急進行3D微創胸腔重建手術後,原本連呼吸都痛到必須「憋氣」的陳男,重展笑顏「終於可以自由呼吸了」!
[廣告] 請繼續往下閱讀.
▲國道工作人員撿拾布鉤繩遭到遊覽車撞擊釀重傷送醫急救。(圖/ETtoday資料圖 )
陳男回憶事發當時仍心有餘悸:「我們完全按照SOP,布置了緩撞車、工作車及預告警示車。」身為資深工作人員的他,對布鉤繩的危險性再清楚不過——10年前他開大貨車時,就曾因輾過布鉤繩的鐵鉤導致翻車,賠了10多萬元修車費,沒想到這次在成功拾起掉落路面的布鉤繩後,竟遭後方遊覽車追撞。
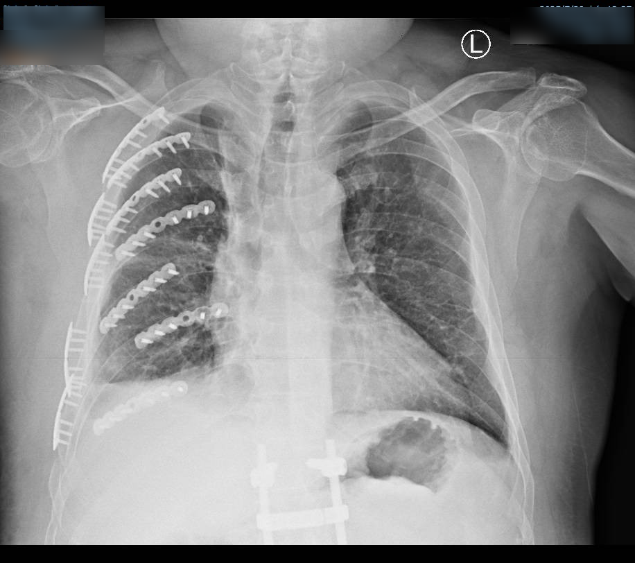
▲國道工作人員撿拾布鉤繩遭到遊覽車釀全身多處粉碎性骨折。(圖/彰化醫院提供)
[廣告] 請繼續往下閱讀..
送醫後檢查發現,陳男不僅有8根肋骨斷成14截,更出現致命性的「連枷胸」,吸氣時胸腔會反常凹陷;右手橈骨粉碎性骨折碎成10多塊,骨盆腔也嚴重受損。
彰化醫院胸腔創傷中心主任林聿騰指出,透過3D胸廓重組影像定位,僅開2個小傷口就用鈦合金骨板固定變形胸腔。骨科醫師陳柏辰接力以鋼板處理粉碎的右手橈骨。歷經馬拉松式手術,陳男總算脫離痛苦。歷經接連手術後,已轉到一般病房,在家人照顧下的他說,手術前,再強的止痛劑也無法止痛,經微創手術後,他才體會到可以自由呼吸是多麼美好的事。
▲彰化醫院胸腔創傷中心主任林聿騰與陳先生合照。(圖/彰化醫院提供)
[廣告] 請繼續往下閱讀...
