記者王佩翊/編譯
日本大阪府大阪市一間醫院2022年發生一起醫療糾紛,一名82歲的住院男子因喉嚨痛確診新冠肺炎,然而院方事後卻在X光檢查中,發現老翁的喉嚨藏有一把長達12公分的金屬鑰匙,儘管緊急將其取出,但老翁仍於數日後身亡。死者家屬向法院提告,認為是醫院疏忽導致悲劇發生,並求償1650萬日圓(約新台幣328萬元)。
[廣告] 請繼續往下閱讀.
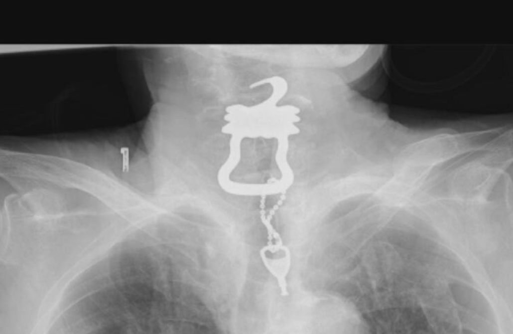
根據《讀賣電視台》報導,死者大西健一2022年1月因跌倒導致胸骨骨折而入院,原本持續住院接受復健。然而他9月卻向醫師表示喉嚨疼痛,並被確診感染新冠肺炎。但是醫院拍攝X光時卻意外發現喉嚨裡卡著一把鑰匙,而鑰匙上還掛著鑰匙圈,雖然緊急將其取出,但老翁仍於數日後病逝。
家屬認為院方有醫療疏失,才會造成老翁死亡,而醫院雖坦承管理有疏失,但對死因是否與鑰匙有關仍有異議。雙方7月11日首次開庭交鋒。
報導指出,大西生前被診斷出輕度失智症,因此住院期間必須穿著防止誤觸點滴所設計的連身衣,而這種衣服的拉鍊需要使用特製鑰匙上鎖。院方也在2023年承認,有可能是醫護人員將鑰匙留在病床旁的桌子上,才會導致病患誤食。
家屬質疑,院方沒有確實管理鑰匙,導致大西誤食金屬,進而引發吸入性肺炎,最終死亡,因此向醫院求償1650萬日圓(約新台幣328萬元)。
對此,醫院方面雖坦承,未將鑰匙收妥一事有所疏忽,不否認有管理過失。但也強調死者真正的死因應為新冠合併細菌感染的肺炎,並非吸入性肺炎,「從未診斷過」有後者的病情,並引用病歷記載佐證其說法。
[廣告] 請繼續往下閱讀..
家屬方面則表示,當初從醫院得到的解釋與目前的說法有所出入,未來將再與律師協商下一步法律行動。
