
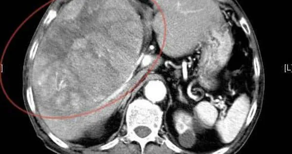
▲男子因上腹劇痛和胃酸逆流,超音波檢查發現,肝臟有15公分大腫瘤已癌末。(圖/翻攝自臉書/錢政弘 胃腸肝膽科醫師)
圖文/CTWANT
[廣告] 請繼續往下閱讀.
一名80多歲的老先生過去沒有慢性病史,身體很硬朗,平常在做志工,假日會爬山健行,某天突然覺得頭暈、頭脹、心跳快被送到急診檢查,此時血壓飆至200毫米汞柱,進一步檢查發現膽固醇過高,初步認定是高血脂引起的高血壓。之後他開始注意飲食,吃得十分養生,後來因上腹疼痛和胃酸逆流去看肝膽腸胃科,意外發現肝臟有個15公分大的腫瘤,剛開始治療不久便病逝。
胃腸肝膽科醫師錢政弘在臉書粉專分享個案,該位老先生確診高血壓後,便十分注意飲食,除了少油少鹽,平時也不敢多吃,深怕膽固醇上升,結果幾個月下來,血壓和血脂肪有控制在正常範圍,但食量變小,體力越來越差,體重少了3至4公斤,原以為是服用降膽固醇藥物出現的現象,沒有多加聯想。
錢政弘透露,約2個多月前,阿公開始出現上腹疼痛和胃酸逆流,於是到他的門診求助,由於患者疼痛的部位偏右上腹部,且右側肋骨下方有壓痛,初步懷疑是膽囊問題,於是安排腹部超音波檢查,結果發現肝臟有個15公分大的腫瘤,後續CT檢查證實已經是晚期肝癌,無法手術,治療沒多久就離世了。
家屬對此非常錯愕,不能理解「阿公罹患肝癌不是應該營養變差,為什麼會高膽固醇呢?」醫生說明,老翁的情形屬於「腫瘤附屬症候群」(Paraneoplastic Syndrome),因為肝癌細胞會誘發HMG-CoAreductase過度表現,使膽固醇合成增加,又會干擾肝細胞代謝膽固醇,結果導致血中膽固醇上升。
錢政弘進一步指出,肝癌細胞也會過度利用葡萄糖或分泌胰島素樣生長因子(IGF-II),導致血糖降低,出現頭暈、心悸或昏迷等症狀,「所以阿公一開始頭暈、心悸、血壓高、膽固醇高的問題,很可能就是肝癌造成的,只是當時沒有腹痛,沒有聯想到是肝臟的疾病」。
[廣告] 請繼續往下閱讀..
延伸閱讀
▸ 男剛滿18歲「父買房當禮」他開心簽名 10個月後慘變負債6位數被告
▸ 快訊/土城2姊妹被姊夫當街砍殺亡 驚悚畫面曝
▸ 原始連結