
▲男子愛穿夾腳拖,豈料在去年底開始發現自己的右腳夾不住拖鞋,就診後竟發現長了腦膜瘤。
圖文/CTWANT
[廣告] 請繼續往下閱讀.
大陸深圳有名男子王某今年32歲,平常很愛穿夾腳拖,豈料在去年底開始發現自己的右腳夾不住拖鞋,人往前走了,拖鞋卻還在原地,沒走幾步腳就夾不住拖鞋了,腳底還有麻木感,到神經外科就診後,竟發現是直徑達到5.6公分的腦膜瘤惹的禍。
據陸媒報導,這種情況困擾了王某幾個月,且症狀還越來越嚴重,整條右腿都使不上力,於是王某到深圳市龍華區人民醫院神經外科就診。
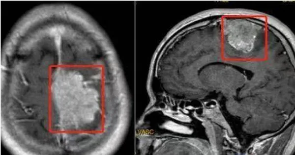
王某在醫院做頭顱磁振造影後,發現他的頭長了個矢狀竇旁腦膜瘤,且這個腫瘤直徑達到5.6公分,他之所以走路會「掉鞋」就是因為腫瘤壓迫到了神經,導致肢體偏癱、感覺障礙。人民醫院神經外科主任告訴他,只能手術切除,術後王某恢復良好,目前已痊癒出院。
腦膜瘤是常見的中樞神經系統原發性腫瘤,佔顱內腫瘤的15%至20%,好發於中年女性,平均發生年齡為45歲。腦膜瘤通常是良性腫瘤,可以發生在任何有硬腦膜的地方,最常見的部位包括矢狀竇旁、腦部凸面、蝶骨嵴、鞍結節等,手術切除是治療腦膜瘤的首選。
延伸閱讀
▸ 父女戀竟生出混血兒?名導終於認了「不是親骨肉」 妻曾嫁台灣富商
▸ 好市多紙箱隱藏功能「省錢又環保」 過來人揭恐怖後果:會發瘋
▸ 爸媽討6千孝親費…42歲大叔氣炸:薪水才3萬 網一面倒勸搬家
[廣告] 請繼續往下閱讀..