
▲聶先生咳斷2根肋骨。(圖/翻攝自閩南網)
記者廖翊慈/綜合報導
廣東深圳一名30歲的聶先生日前得了流感,雖經治療後感冒症狀已緩解,但咳嗽卻未癒,加上他工作壓力、作息飲食不正,導致咳嗽咳了一個月。醫師表示,聶先生咳斷了兩根肋骨,「以患者的歲數來說比較少見。」
[廣告] 請繼續往下閱讀.
據《閩南網新聞》報導,日前,廣東深圳一名聶先生得了一場流感後,雖然感冒症狀得到緩解,但慢性咳嗽卻如影隨形,糾纏不休,持續了一個月之久。
聶先生表示,由於工作壓力大,自己的飲食和睡眠作息都不規律。第一次就診時,醫生為他開了一些中藥,咳嗽症狀有所緩解。然而,過年期間,他放鬆了對飲食的控制,大吃大喝之下,導致咳嗽再次復發。
▲聶先生因作息、飲食不規律,導致咳嗽久未癒。(示意圖/取自免費圖庫pexels)
[廣告] 請繼續往下閱讀..
他無奈地表示,「一開始只是咳嗽,本想著過段時間身體就會自我修復,沒想到越拖越嚴重,每次一咳嗽,胸這塊就疼痛難忍,感覺像被錘子砸了一樣。」
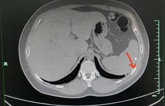
醫師一看他的CT發現,「患者的右側第五、第六肋骨都骨折了,肋骨骨折與其他骨折不同,它不承受重量,所以在靜止狀態下通常沒有疼痛感。但當肋骨受到外力按壓或胸廓活動較大時,如咳嗽或深呼吸,就會引發疼痛。」
醫師也指出,「咳斷肋骨的情況在骨質疏鬆的老年患者中較為常見。像聶先生這樣年輕、體型正常的患者是較少見的案例,可能是由於咳嗽時間持續過久,加上作息不規律造成的疲勞,肋骨反覆受到拉扯而引發的疲勞骨折。」