
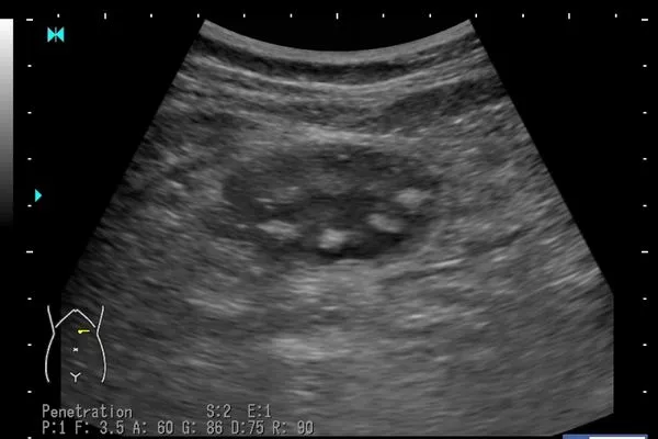
▲醫師曝珍珠不易消化,就算在胃裡也能認得出來。(圖/翻攝自Facebook/臭寶爸 - 兒科陳敬倫醫生)
實習記者林郁婷/綜合報導
台人喜歡喝手搖飲,珍珠奶茶更是不少人最愛喝的品項之一。小兒科醫師陳敬倫指出,近日來經常有家長因小孩肚子痛帶來看醫生,一照超音波,胃裡面都是「一顆一顆的珍珠,像是蓮蓬的影像」。他表示,大部分的食物到胃裡都無法區分是什麼,只有一個例外,就是珍珠奶茶的珍珠,到了胃裡還能看到一顆一顆的。
[廣告] 請繼續往下閱讀.
臉書「臭寶爸 - 兒科陳敬倫醫師」今(7)日分享案例,表示家長帶孩子來做超音波時,經常能聽到這句話「醫生用超音波看你剛吃了什麼」。他笑言,其實超音波也沒有那麼厲害,大部分食物經過消化液和空氣後,幾乎看不出全貌,就連誤食異物、零件或小玩具,也無法用超音波來辨別。
但是,「只有一個例外,珍珠奶茶的珍珠」。陳敬倫說,由於珍珠不容易消化,孩子如果吃太多,照超音波時就能在胃裡看到一顆一顆的珍珠,「像蓮蓬的影子像,如果我來命的話,我就叫它蓮蓬簽!」
最後他也提醒民眾,天氣越來越炎熱,因為喝太多珍珠奶茶導致肚子痛的小朋友也變多,「對孩子來說,珍珠本來就不容易消化,珍珠奶茶也含咖啡因,不適合孩子過度飲哦!」
省錢大作戰!超夯優惠等你GO
[廣告] 請繼續往下閱讀..
大罐又便宜 ►衣物徹底洗淨「妙管家抗菌洗衣精4000gx4瓶」限時↘$399
1顆不到7元►毛孩專用 Dr.好骨力 讓愛貓愛犬健康好靈活 限時↘$399