
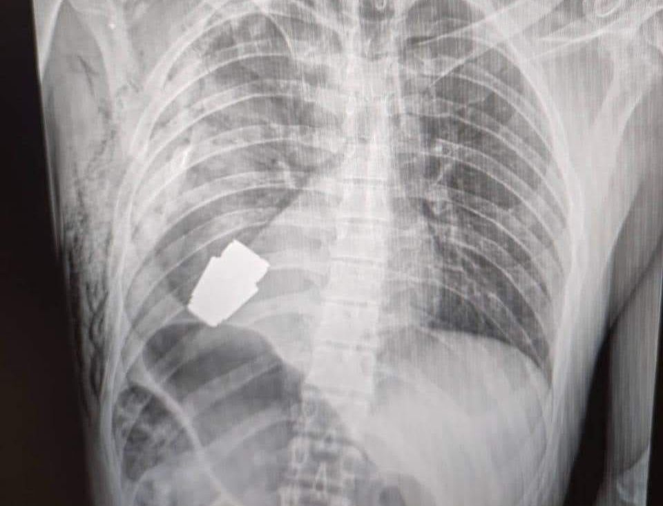
▲烏克蘭一名士兵心臟附近卡了一顆VOG榴彈 。(圖/翻攝自臉書,下同)
記者詹雅婷/綜合報導
俄烏戰爭開打迄今超過320天,兩軍均出現大量傷亡。烏克蘭一名士兵受傷,一顆尚未爆炸的VOG榴彈直接射進他的胸腔,卡在靠近心臟的位置,一不小心就會爆炸,醫師冒死進行手術,奇蹟般成功取出榴彈。
[廣告] 請繼續往下閱讀.
綜合衛報、天空新聞報導,這名士兵是在烏東前線巴赫姆特(Bakhmut)作戰時受傷,依據X光影像,可見一顆尚未爆炸的VOG榴彈就卡在他的胸腔,位置就在心臟下方。
烏克蘭外科醫師韋爾巴(Andriy Verba)在另外2名士兵的陪同下進行手術,且考慮到榴彈可能隨時會爆炸,並未使用一般手術止血常見的電燒。這場手術非常成功,醫師順利把榴彈自士兵的心臟下方取出。
依據烏軍發布的照片,在手術結束後,醫師還用手拿著榴彈。不過烏克蘭軍方並未說明這場手術進行的具體時間。