
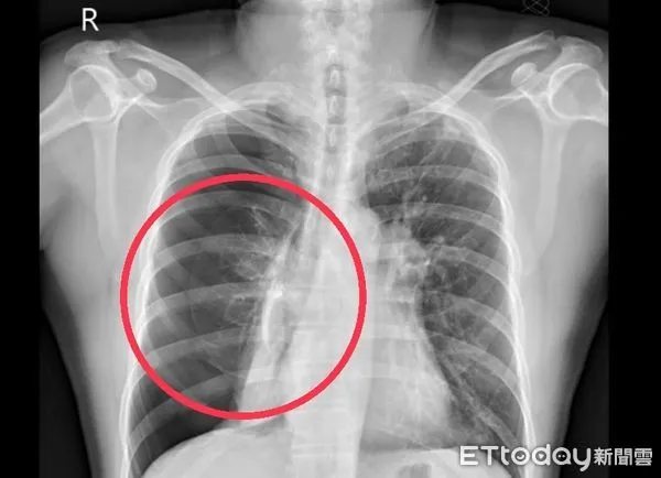
▲X光片的紅圈處顯示患者右肺明顯塌陷。(圖/衛福部南投醫院提供)
記者高堂堯/南投報導
年約60歲的許姓男子月前某天午睡起來後,突然出現胸痛、無法深呼吸等症狀,相當難受,趕緊至急診室就醫,安排胸部X光檢查,發現右側肺部有氣胸,插上胸管將空氣引流、改善症狀;沒想到幾天後同側氣胸再次發作,送醫經醫師評估後,透過胸腔鏡肺楔狀切除手術,恢復順暢呼吸,也降低復發機率。
[廣告] 請繼續往下閱讀.
衛福部南投醫院胸腔內科主任施志宏指出,氣胸是指空氣堆積於肋膜腔內,使肺葉塌陷,可能出現胸悶、胸痛、呼吸困難、喘等症狀,嚴重時會引發張力型氣胸,導致休克甚至死亡;引發氣胸的原因分為2大類:自發性氣胸是因肺部氣泡破裂引起,成因不明,外傷性氣胸則是遭受外力撞擊、外傷、手術等過程導致肺部破裂。
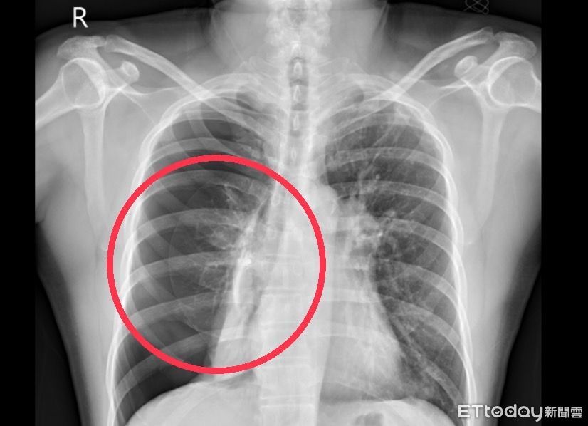
▲6旬男子午睡後突然呼吸困難,醫師籲抽菸者注意原發性氣胸,圖非當事人。(圖/衛福部南投醫院提供)
施志宏表示,自發性氣胸好發於高瘦年輕的男性,不過有抽菸習慣的中年民眾仍不能大意,如許姓男子就是20多年的老菸槍,提醒抽菸會增加肺部氣泡的形成和破裂的風險機率,建議應戒菸。
[廣告] 請繼續往下閱讀..
國軍台中總醫院胸腔外科主任謝志明表示,氣胸依病況輕重程度而有不同的治療方式,大致分為保守治療與積極治療:保守治療為氧氣給予、胸管引流,但復發率較高,而積極治療便是進行手術;許男在短短數日內便復發,未來再次復發的機率高,因此安排進行手術治療,目的是找出病灶並將其切除,再加上肋膜粘黏術,使肋膜腔完全粘黏,通常可控制復發率在3%以下,讓病患恢復正常的生活品質。