
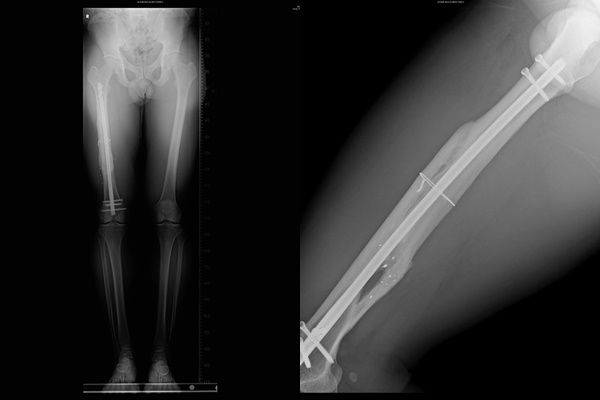
▲裡面留下很多子彈碎片。(圖/翻攝自館長臉書)
記者周亭瑋/綜合報導
「館長」陳之漢2020年8月29日,在離開吉思汗健身俱樂部林口旗艦店後,遭人連開三槍,引起各界譁然;時隔兩年,稍早他在臉書發文,感慨「看裡面還留一堆子彈碎片,就當作是給我自己的紀念品吧!」
[廣告] 請繼續往下閱讀.
館長稍早在臉書發文提到,「今天是我中槍滿兩年了,回到醫院照片子檢查,雖然天天腳都會痛,但是我還是堅持訓練,反正腿傷問題是無解,命有救回來就好,看裡面還留一堆子彈碎片,就當作是給我自己的紀念品吧。」
時間拉回2020年8月28日凌晨2時20分許,槍手劉丞浩趁館長離開成吉思汗健身俱樂部林口旗艦店時,朝他連開三槍,館長小腿及手臂各中一槍,被送往長庚醫療財團法人林口長庚紀念醫院救治。
▲館長兩年前遭槍擊送醫。(圖/翻攝自館長YouTube)
[廣告] 請繼續往下閱讀..
當時,館長右手臂一發槍擊穿透傷,子彈貫穿手臂後再擊中右大腿,另右大腿也粉碎性骨折,彈頭卡在腿內,而右小腿則中了一槍,且彈頭卡在腳踝中。
另外,儘管槍手劉丞浩帶槍自首試圖擔罪,但檢警查出背後為竹聯幫寶和會份子主使。一審將寶和會會長林修伯、組長施俊吉等人分別判刑18年到10月不等刑期,案件上訴二審,高院二審16日改判刑主謀施俊吉16年、槍手劉丞浩15年6月。可上訴。
快速結帳超方便!超夯品也有優惠
[廣告] 請繼續往下閱讀...
►夯爆款「石墨烯涼被」買1送1...才1098元!控溫、抗菌還可水洗
開箱雲好康優惠!!內有折扣碼
►我就懶阿!6款「餐廳級調理包」水煮5分鐘開吃 再送晶華牛肉麵
►1包15元!醫院激推「4款養生沖泡飲」熱量134卡 4種人超適合