
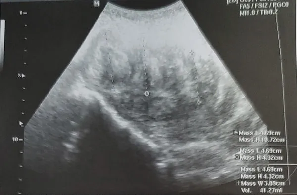
▲▼宜蘭葉姓婦女超音檢查最大肌瘤在子宮宫底(上圖),另外3個肌瘤分別在子宮後壁和子宮頸後(圖/陽明交大附醫提供,下同)
記者游芳男/宜蘭報導
隨著科技的進步,全世界的手術方式已經進入微創時代。陽明交大附醫今(2022)年設置最先進微創智慧醫療的達文西手術機器人系統,讓蘭陽地區的鄉親也能享受到醫學中心甚至國際水平的醫療服務,並在日前為葉姓婦女手術4個大小分別是10到3公分的子宫肌瘤,而且手術時間縮短又縫得好、出血少、恢復快、預後更好、沾黏少、懷孕也會更順利。手術後,葉女,說非常滿意,因為月經時再也不用包大人和血崩了。
[廣告] 請繼續往下閱讀.
陽明交大附醫表示,宜蘭37歲葉姓婦女因經痛、經血多和頻尿到婦產科門診就醫,超音波檢查發現4個子宫肌瘤,大小分别是10.6,4.6 ,4.3和3.6公分,最大的在子宮宫底,平時下腹就可摸到,另3個肌瘤的位置比較不尋常在子宮後壁和子宮頸後骨盆腔深處。
葉女的這種情况若以傳統剖腹的方式手術將會很容易但是傷口大、術後較痛、需要較久的回復期。若以腹腔鏡來做肌瘤切除手術會比較困難進行,因為肌瘤的位置和傷口在骨盆深處,尤其在缝合的部分和需特定角度不是那麽容易進行。
婦產科龐渂醛醫師說,因院方於今年6月開始正式提供先進的達文西機器人手臂手術,因此建議葉女利用這種微創手術方式來治療。達文西手術最大優點之一是很容易缝得很好,一般腹腔鏡肌瘤切除手術後子宮傷口缝兩層就很不容易了,葉女士子宮的大傷口用達文西機器人手臂共缝了3層,缝得非常紮實牢靠。而且手術出血量只有100cc (一般手術介於500至1000cc)。
[廣告] 請繼續往下閱讀..
葉女術後只有微微的痛而且第2天就出院了,不但恢復快,而且傷口小。兩週之後回門診追蹤,超音波複檢顯示子宮已經完全回復正常,之後葉女的月經量也回復正常,葉女表示,非常滿意因為月經時再也不用包大人和血崩了。
▲婦產科龐渂醛醫師與最先進微創智慧醫療的達文西手術機器人系統。(圖/陽明交大附醫提供)
院方說,達文西做肌瘤切除手術的優點很多,包括了鏡頭3D立體,手術過程沒有深度的問題,即便鏡頭離腫瘤很近影像也不模糊,因此,可以精準地只切除病灶而減少不必要的損傷,尤其是肌瘤位置在深部或在子宮或子宮頸後面,最能發揮它的優點,再加上手術醫師坐著開刀,即使長時間開刀也不容易因勞累而出錯,病人安全更有保障。另一項則是達文西的手腕可旋轉,縫合的部分可以很容易就缝得很好,尤其是有很多顆肌瘤或仍有生育需求的病人,手術時間縮短又縫得好、出血少、恢復快、預後更好、沾黏少、懷孕也會更順利。
[廣告] 請繼續往下閱讀...
院方強調,持續在儀器上、技術上不斷精進,才能給病人最好的醫療照護。由於執行達文西手術需仰賴醫師的高度專業,目前醫院泌尿外科、大腸直腸外科、婦產科執刀醫師已完成專業且嚴謹的訓練,均可執行達文西手術,民眾如有相關疑問可向上述科別諮詢。
院方指出,達文西機器人手臂在婦科手術的運用包括:
1.子宮肌瘤切除術,尤其是肌瘤位置困難、多顆、有生育需求者
2.子宮/膀胱脫垂骨盆底重建術
3.早期子宮內膜癌分器手術
4.子宮切除手術,子宮頸軔帶保留子宮切除手術
5.良性卵巢腫瘤切除