
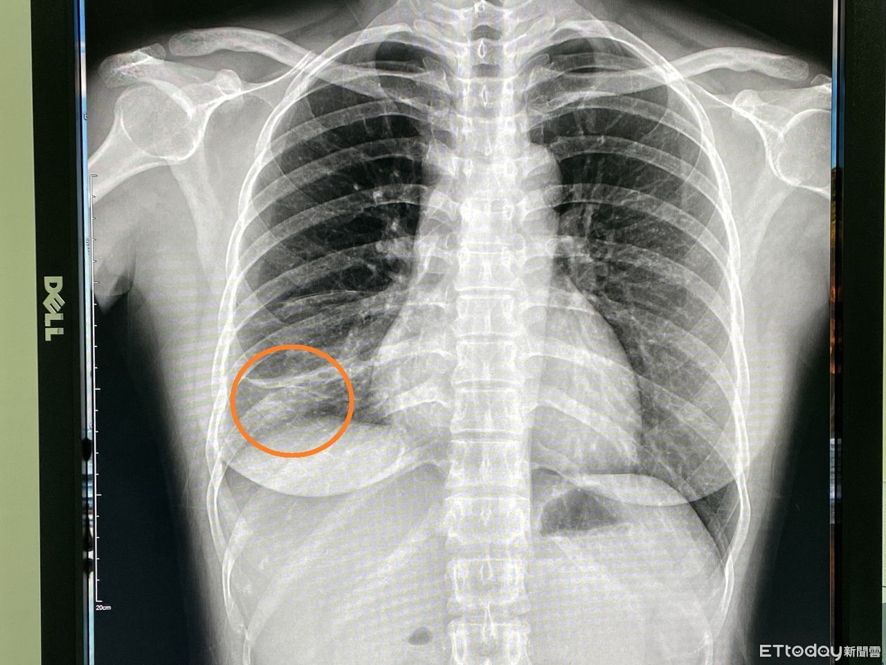
▲傳播力不輸Omicron!女作業員肺結核連咳2個月,醫驚「下肺葉塌陷了」。(圖/院方提供)
記者游瓊華/台中報導
近日台灣新冠肺炎Omicron呈現急速擴大流行的趨勢,引發民眾的高度關注,然而另一種傳染性疾病也悄悄散播中。烏日林新醫院胸腔內科主治醫師許人文近日在門診發現一名32歲女作業員,已經咳嗽兩三個月不見好轉,來門診進行胸部X光檢查,發現右下肺葉有一小片扁平塌陷和浸潤的病灶,醫師竟然發現作業員痰液中佈滿了密密麻麻的肺結核菌,屬於罕見的「右下肺葉」開放性肺結核病人,醫院已進行法定傳染病通報。
[廣告] 請繼續往下閱讀.
烏日林新醫院胸腔內科許人文醫師指出,肺結核的傳播方式和新冠肺炎非常相似,都是利用飛沫和空氣傳染,平均一個肺結核病人,大約可以傳播給十個其他健康的人,其傳染率不亞於新冠肺炎大魔王Omicron。只是感染肺結核的病人,一開始症狀並不明顯,同時病人的症狀也不一,有些人會咳嗽、發燒、胸痛,有些只是潛伏性的感染,單從外表完全看不出來的無症狀感染者,這也是肺結核很難清零的原因,且容易造成隱形的傳播鏈。
▲烏日林新醫院胸腔內科醫師許人文。(圖/院方提供)
根據國外文獻統計,下肺葉肺結核的病人,大多以40歲以下的年輕女性為主,肺結核的X光表現,大部分都是在兩側的上肺葉,然而在「下肺葉」的個案非常少見,常常只有零星個案被報導,也因此常常會被醫療人員所忽略,再加上肺結核具有「非立即性傳染、不易診斷」之特性,醫師初步需要先排除肺炎、肺膿瘍、或是肺癌,再進一步考慮是否為肺結核的可能性!
[廣告] 請繼續往下閱讀..
目前女作業員在醫師開立抗結核藥物治療下,咳嗽症狀已改善許多,傳染力大幅降低,肺部也逐漸康復中,預計治療六個月至九個月即可完全痊癒。烏日林新醫院胸腔內科許人文醫師在此呼籲,若是有咳嗽超過兩個禮拜,請儘速到胸腔內科門診照X光或進一步檢查,以免延誤病情。