
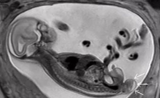
▲鄭姓女子在產檢時,發現胎兒脊柱有異常。(圖/翻攝自網易新聞,下同)
圖文/CTWANT
[廣告] 請繼續往下閱讀.
大陸一名鄭姓女子懷孕5個月時,到醫院產檢發現胎兒的屁股位置鼓起一個包,看起來就像條尾巴,讓夫妻倆不知該如何是好。經廈門大學附屬第一醫院診斷,初步判定為胎兒骶尾部畸胎瘤,決定實施介入性產前羊水穿刺,評估胎兒的腫瘤為良性後,建議孕婦繼續妊娠,最後平安生下寶寶,母子均安。
綜合陸媒報導,廈門大學附屬第一醫院產前診斷多學科專家團隊臨床組、超聲組、核磁共振組、遺傳組、兒外組、兒科組進行MDT(多學科會診),全面分析了胎兒可能的病情變化趨勢及不良預後,鑒於無法預測包塊的生長趨勢及性質,醫生也明確告知了鄭女可能需要的治療、預後及併發症。
鄭女和家屬聽從了姜金娜主任醫師的建議,實行了介入性產前診斷羊水穿刺;檢驗科細胞遺傳學專家邱惠國副主任技師,為寶寶的羊水進行了染色體核型檢測,結果正常。由於寶寶屬於胎兒骶尾部畸胎瘤(I型),80%預後良好,勇敢的父母選擇繼續妊娠。
▲畸胎瘤是小兒常見實體瘤之一。
[廣告] 請繼續往下閱讀..
隨著寶寶一天天發育長大,畸胎瘤也在長大,幸運的是沒有出現宮內併發症,生長指標在正常範圍內。懷孕38週時,醫生為鄭女做了剖宮產手術,手術順利,術後直接轉至新生兒科病房。寶寶出生後第3天,兒外科團隊為寶寶進行了手術,手術很成功,且確認腫瘤為良性,目前寶寶已經1歲,生長發育一切正常。
據了解,畸胎瘤是小兒常見實體瘤之一,好發在身體中線及其兩旁,由三胚葉組織構成,其中又以骶尾部畸胎瘤最多見,它可發生在任何年齡,以新生兒及嬰兒期最多見。隨著產前篩檢技術發展,骶尾部畸胎瘤的產前診斷率可達90%以上,其病理性質有良惡性之分,絕大多數新生兒骶尾部畸胎瘤為良性腫瘤。
延伸閱讀
▸ 「落井下石的人太多」王力宏老師不忍了:遠離朋友 雪中送炭曝私下暖舉
▸ 茄子蛋壓軸唱到一半「被切感謝名單」 主唱阿斌爆氣怒嗆:沒在尊重
▸ 鹿希派發片前再度出事 染毒傷透吳宗憲心「發片計畫泡湯」