
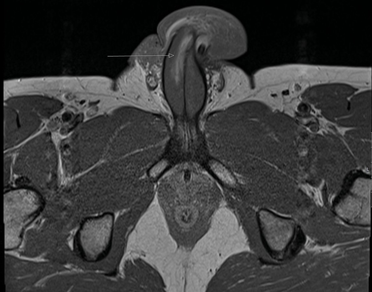
▲依據MRI掃描,醫師發現患者陰莖右側有一處3公分長的垂直受傷處。(圖/翻攝自《英國醫學期刊》)
記者詹雅婷/綜合外電報導
英國約克郡一名40歲男性先前與伴侶展開一段激烈情慾交流,但沒想到就在情緒嗨到最高點朝對方猛攻的同時,下體撞向伴侶會陰處,導致他的陰莖當場垂直骨折。此案例是英國已知垂直陰莖骨折的首例,並被刊登在《英國醫學期刊》(British Medical Journal)。
[廣告] 請繼續往下閱讀.
綜合每日郵報等英媒報導,該名男子當時下體撞向伴侶的會陰處,也就是肛門與生殖器之間的位置,導致陰莖逐漸腫脹,呈現垂直骨折。依據MRI掃描,醫師發現患者的陰莖右側有一處3公分長的垂直受傷處。現已知他就醫後的手術相當成功,並於受傷6個月後恢復正常性行為,且術後陰莖勃起的狀況與受傷前相同,沒有陰莖彎曲或出現明顯疤痕。
這起案例被刊登在《英國醫學期刊》(British Medical Journal),論文撰寫者並未說明男子當時發生性行為的體位,但已知最常發生陰莖骨折的姿勢為背後式(doggy style)及男性在上(man on top)。專家表示,此個案相當罕見,因為先前有紀錄的陰莖骨折個案並非呈現垂直。
事實上,男人勃起時的堅挺部分就是「陰莖白膜」,這是陰莖皮膚下一個很硬的組織,在有性衝動時,血液會灌入陰莖海綿體,而陰莖白膜就像護城牆一樣包覆海綿體,充血越多越硬。而陰莖骨折就是「陰莖白膜破裂」。
文中提到,一旦發生任何陰莖骨折的狀況時,必須在24小時內接受治療,否則可能導致永久性勃起功能障礙等併發症。
[廣告] 請繼續往下閱讀..
Spotify|KKBOX|SoundOn|Apple Podcast|Google Podcast