
▲男子左肝被掏空长满虫卵。(圖/翻攝自都市快報)
記者鄭思楠/綜合報導
四川一55歲謝姓男子出現食欲不振和輕度腹瀉,4個月後開始畏寒发熱。醫生的檢查結果讓他嚇了一跳,他的左肝已被「掏空」,里面長滿蟲卵。醫生判斷,這道家常菜就是他患病的元兇!
[廣告] 請繼續往下閱讀.
據《都市快報》報導,55歲的謝男是四川人,到杭州打工10多年,因父親病故回老家小住了一段時間。不久後便出現食欲不振和乏力,起初還伴有不明原因的輕度腹痛、腹瀉。
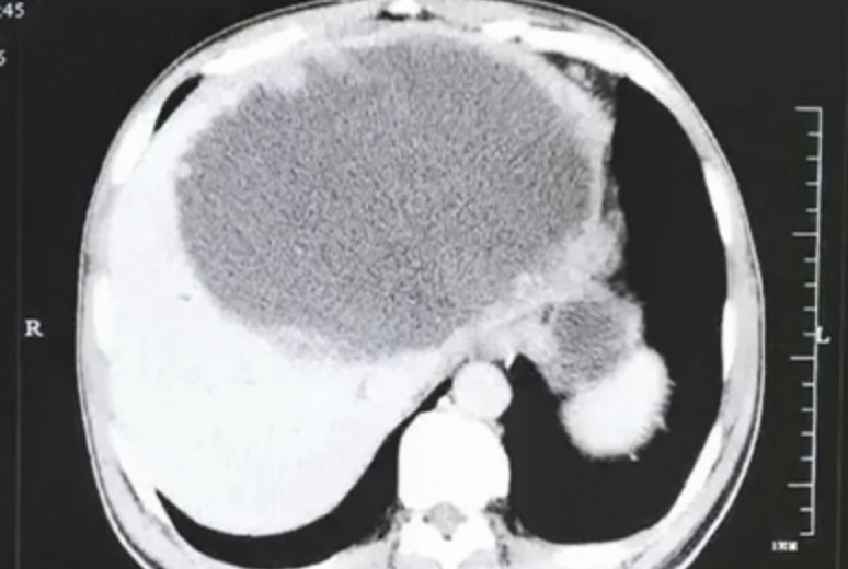
4個月過去了,他一直以為是心情鬱悶所致,直到出現了3天的畏寒、發熱,才到杭州市第一人民醫院肝膽胰外科就診。這一檢查可把醫生和謝男都嚇壞了,檢查顯示:謝男的左肝已經被「掏空」,變成了一個大膿球。
經過多學科會診及討論後,醫生果斷為患者進行了手術,將左半肝切除。誰都沒有想到,醫生切開後看到,膿腫壁上大量的腫瘤樣結構竟然是「肉芽腫性炎性腫塊」,裡面甚至還爬滿了燈泡狀、殼厚的華支睾吸蟲蟲卵(又稱為肝吸蟲),膿腫內多得數不清,看得人頭皮發麻……。
術後,謝男回憶起自己回老家時,買過當地的魚做了一次酸菜魚,「為了追求鮮嫩的口感,魚片我只用熱水燙了幾十秒就吃了。」他說,他們當地有生吃或半生吃魚片的習慣,當地人稱之為「魚生」。
[廣告] 請繼續往下閱讀..
「一旦魚被肝吸蟲感染,吃了生魚片之後人隨即也會感染,」醫生告訴謝男,此蟲繁殖力驚人,每次可產1400~2000個卵,而且可存活20~30年。如果置之不理,牠們不僅會在肝內安家,而且會靠肝「吃」肝。