
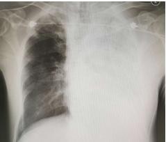
▲男子肺部變白。(圖/溫州新聞網)
記者蔡儀潔/綜合報導
浙江一名李姓男子,在退休後過起老年生活,不僅飲食清淡、深諳養生之道,而且每天還會跳個1小時的廣場舞,然而不久前他出現發熱、輕微氣急等症狀,起初以為自己是感冒了,後來一查,左邊的肺全部變白,他被緊急轉進加護病房,而在血液中、痰液中均驗出「鮑氏不動桿菌」。
[廣告] 請繼續往下閱讀.
據《溫州新聞網》報導,半月前李大伯因為發熱到浙江省立同德醫院就診,當時主要表現為發燒、輕微氣急,肺部CT顯示左肺有大片的炎症。
不過初始的治療似乎並沒有有效阻止病情的進展,李大伯高熱不退,呼吸更為急促,幾乎喘不過氣,24小時不到,醫生再次為他復查胸片,結果讓人大吃一驚,左邊肺部基本全白。
▲接受治療的李大伯。(圖/溫州新聞網)
[廣告] 請繼續往下閱讀..
李大伯被緊急收治到ICU,而當時他眼中缺氧和休克,心臟跳動非常微弱,幾乎快要停止,醫護人員倒吸一口涼氣。李大伯檢查結果表明,炎症程度很重,凝血系統、肝、腎功能的指標也明顯升高。
綜合各項檢查結果,李大伯是重症肺炎併發的嚴重敗血症,感染性休克,並由於敗血症引發的持續缺血缺氧和嚴重感染,導致患者全身多個重要臟器功能衰竭。此病極其凶險,死亡率極高,若血壓和氧合情況仍不改善,生命危在旦夕。
▲醫生在進行救治。(圖/溫州新聞網)
[廣告] 請繼續往下閱讀...
針對李大伯的情況,醫生當即決定緊急行ECMO(葉克膜),與此同時,針對其嚴重感染的原因開展全面的排查。第二天實驗室的病原學檢查結果顯示,李大伯的血液中、痰液中均存在「鮑氏不動桿菌」。
李大伯在呼吸機、ECMO等技術支持和有效的抗感染治療下,病情終於得到了改善,心臟漸漸恢復活力,尿量逐漸增多,升壓藥逐步平穩下調,不久,呼吸機參數也可以慢慢下調。結合早期床邊加速康復治療和呼吸鍛煉,李大伯在住院第4天擺脫了ECMO的支持,在第10天順利轉普通病房。